Перикардиты и заболевания перикарда у детей
Версия: Клинические рекомендации РФ 2025 (Россия)
Другие болезни перикарда (I31), Острый перикардит (I30), Перикардит при болезнях, классифицированных в других рубриках (I32*)
Кардиология детская, Педиатрия
Общая информация
Краткое описание
Разработчик клинической рекомендации
Всероссийская общественная организация "Ассоциация детских кардиологов России"
Одобрено Научно-практическим Советом Минздрава России
Клинические рекомендации
Перикардиты и заболевания перикарда у детей
Год утверждения (частота пересмотра): 2025
Пересмотр не позднее: 2027
ID: 927_1
Возрастная категория: Дети
Определение заболевания или состояния (группы заболеваний или состояний)
Перикардит – это наиболее распространенная форма заболевания перикарда, характеризующееся воспалением слоев перикарда различной этиологии с выпотом в его полость или без него [1].
Перикардит может быть самостоятельным патологическим процессом (изолированная форма) или быть кардиальным проявлением системного заболевания (например, аутоиммунного или аутовоспалительного заболевания) [2,3].
Клиническая картина перикардита вариабельна по времени проявления, симптомам и прогнозу.
I31 – Другие болезни перикарда
I32* – Перикардит при болезнях, классифицированных в других рубриках
Особенности кодирования заболевания или состояния (группы заболеваний или состояний) по Международной статистической классификации болезней и проблем, связанных со здоровьем
I30 – Острый перикардит
I30.0 – Острый неспецифический идиопатический перикардит
I30.1 – Инфекционный перикардит
I30.8 – Другие формы острого перикардита
I30.9 – Острый перикардит неуточненный
I31 – Другие болезни перикарда
I31.0 – Хронический адгезивный перикардит
I31.1 – Хронический констриктивный перикардит
I31.2 – Гемоперикард, не классифицированный в других рубриках
I31.3 – Перикардиальный выпот невоспалительный (хилоперикард)
I31.8 – Другие уточненные болезни перикарда
I31.9 – Болезни перикарда неуточненные (тампонада сердца)
I32* – Перикардит при болезнях, классифицированных в других рубриках
I32.0 – Перикардит при бактериальных болезнях, классифицированных в других рубриках
I32.1 – Перикардит при других инфекционных и паразитарных болезнях, классифицированных в других рубриках
I32.8 – Перикардит при других болезнях, классифицированных в других рубриках
Классификация
Классификация заболевания или состояния (группы заболеваний или состояний)
По длительности течения различают:
- острый перикардит (до 4-6 недель);
- подострый/постоянный перикардит (более 4-6 недель, но менее 3 месяцев без ремиссии);
- хронический перикардит (более 3 месяцев);
- рецидивирующий перикардит (возникает после первого эпизода острого перикардита при наличии бессимптомного периода не менее 4-6 недель): может быть интермиттирующим или перемежающимся (с бессимптомными периодами без применения терапии более 6 недель) и непрерывно-рецидивирующим (прекращение или снижение интенсивности противовоспалительной терапии вызывает рецидив менее чем за 6 недель).
По наличию или отсутствию выпота выделяют:
- сухой (фибринозный);
- экссудативный/экссудативно-констриктивный:
по характеру выпота:
– транссудат (гидроперикард),
– экссудат: серозный, геморрагический, гнойный (пиоперикард), хилезный (хилоперикард).
По объему выпота при измерении на ЭхоКГ в конце диастолы для детей школьного возраста и подростков:
- небольшой выпот (50-100 мл или <10 мм);
- умеренный выпот (100-500 мл или 10-20 мм);
- выраженный выпот (> 500 мл или >20 мм).
По наличию гемодинамических нарушений:
- без гемодинамических нарушений;
- тампонада сердца;
- перикардиальная констрикция.
Этиология и патогенез
Этиология и патогенез заболевания или состояния (группы заболеваний или состояний)
Этиология перикардита
Перикардит может быть, как самостоятельным заболеванием, так и вторичным при других состояниях. Все этиологические факторы, которые могут быть причастны к развитию перикардита, можно условно разделить на три группы: инфекционные, неинфекционные и идиопатические [4].
-
Инфекционные причины:- вирусные: энтеровирусы (такие как Коксаки A и B, ECHO); вирусы из семейства Coronaviridae; принадлежащие к семейству Herpesviridae (такие как вирус герпеса человека 6 (HHV6), вирус Эпштейна-Барра и Цитомегаловирус); Парвовирус B19; вирус гриппа, аденовирусы, ветряная оспа, эпидемический паротит, краснуха, вирусы гепатита B и гепатита C, ВИЧ;- бактериальные: Mycobacterium Tuberculosis (часто, другие бактерии редко), Coxiella burnetii, Borrelia burgdorferi, редко: Pneumococcus spp., Meningococcus spp., Gonococcus spp., Streptococcus spp., Staphylococcus spp., Haemophilus spp., Chlamydia spp., Mycoplasma, Legionella, Leptospira, Listeria, Providencia stuartii.У детей Staphylococcus aureus является наиболее распространенной причиной бактериального перикардита, составляя 40–80% случаев. В течение первых 3 месяцев после операции на сердце S. aureus является наиболее частой причиной гнойного перикардита.- грибковые (очень редко): Aspergillus spp., Blastomyces spp., Candida spp. (наиболее часто встречается у детей с иммунодефицитом), Histoplasma spp. (наиболее часто при сохраненном иммунитете;- паразитарные (очень редко): Toxoplasma spp., Echinococcus spp., Trypanosoma cruzi.
-
Неинфекционные причины:
-
Аутоиммунные (частые):- системные воспалительные заболевания: системная красная волчанка, ревматоидный артрит, склеродермия, синдром Шегрена, васкулит, дерматомиозит, смешанное заболевание соединительной ткани;- аутовоспалительные заболевания: семейная средиземноморская лихорадка и периодический синдром, связанный с фактором некроза опухоли (TRAPS), заболевания, связанные с IgG4;- синдромы посткардиального повреждения: иммуноопосредованные после травмы сердца у предрасположенных лиц;- прочие: гранулематоз Вегенера с полиангиитом, аллергический гранулематоз Черджа-Стросса, узелковый полиартериит, саркоидоз, воспалительные заболевания кишечника (болезнь Крона, язвенный колит), синдром Уиппла, гигантоклеточный артериит, синдром Бехчета, ревматическая лихорадка;- хроническая реакция «трансплантат против хозяина» после аллогенной трансплантации гемопоэтических стволовых клеток крови;
-
Неопластические:- Первичные опухоли (редко): злокачественные – мезотелиома перикарда, фибро- и ангиосаркомы; доброкачественные – липомы, фибромы;- Вторичные метастатические опухоли: часто при раке легких и молочной железы, лимфоме, меланоме и др.;
-
Метаболические:- Уремия, гипотиреоз, гипотиреоз, нервная анорексия;
-
Травматические:- Раннее начало (редко): прямое повреждение: проникающее ранение, перфорация пищевода. Непрямое повреждение: непроникающее ранение грудной клетки, тупые травмы грудной клетки- Отсроченное начало: синдромы после кардиального повреждения (например, посткардиотомный синдром, после инфаркта миокарда)
- Ятрогенные причины: после чрескожного коронарного вмешательства, установки электрода кардиостимулятора и радиочастотной абляции и др.;
- Лекарственные причины: волчаночноподобные синдромы, вызванные приемом таких препаратов как прокаинамид**, изониазид**, метилдопа**; реакция гиперчувствительности с эозинофилией (бета-лактамные антибактериальные препараты, пенициллины, триптофан); традиционные противоопухолевые препараты, часто в сочетании с кардиомиопатией – доксорубицин**, даунорубицин**, циклофосфамид**, антрациклины и родственные соединения; таргетные противоопухолевые препараты, иммунотерапия опухолей, моноклональные антитела, амиодарон**, тиазидные диуретики (тиазиды), стрептомицин**, оральные антикоагулянты (антитромботические средства), некоторые вакцины, реакции сывороточной болезни и др.;
- Радиационные: раннее начало и позднее (через 15-20 лет);
- Перикардиты, обусловленные поражением сердца и соседних органов: миокардиты, инфаркт миокарда, хроническая сердечная недостаточность, легочная артериальная гипертензия, пневмония, эмпиема плевры;
- Прочие: амилоидоз, хилоперикард, поликистоз почек, кисты перикарда, наследственное частичное и полное отсутствие перикарда.
-
- Идиопатический перикардит.
В ряде случаев у пациентов не удается обнаружить идентифицируемой причины. Идиопатический перикардит составляет от 37 до 68% всех перикардитов.
В таких случаях наиболее часто предполагают вирусную (прямое или опосредованное вирусное повреждение) или аутоиммунную этиологию [3,4].
Патогенез перикардита
Патогенез перикардита обусловлен сложным взаимодействием между триггерными факторами и иммунной системой организма. Особое место в патогенезе занимают интерлейкин-1 альфа и интрелейин-1 бета, поддерживающие прогрессирующий аутовоспалительный цикл за счет активации сигнального пути с участием, стимулирующего синтез воспалительных молекул – циклооксигеназы, простагландинов и интерлейкина-6. Интерлейкин-6 может повышать уровень С-реактивного белка, что, в свою очередь, является маркером эффективности проводимой противовоспалительной терапии [5,6,7].
Фармакотерапия, такая как колхицин, противовоспалительная терапия НПВП и глюкокортикоидами, иммунотерапия, может быть нацелена на различные области сложной патофизиологии перикардита [8].
Эпидемиология
Эпидемиология заболевания или состояния (группы заболеваний или состояний)
Эпидемиологические данные об остром перикардите ограничиваются сообщениями отдельных центров и достаточно скудны. По этим данным частота встречаемости острого перикардита в общей популяции составляет 30-150 случаев на 100 000 в год и составляет от 0,2% до 5% всех обращений в отделение неотложной помощи с жалобами на боли в груди [9,10,11,12].
Рецидивирующий перикардит формируется у 35% педиатрических пациентов, фактором риска формирования данной формы заболевания является отказ от колхицина при первичном остром эпизоде или быстрое снижение дозировки и ранняя отмена глюкокортикоидов [13,14,15].
Клиническая картина
Cимптомы, течение
Клиническая картина заболевания или состояния (группы заболеваний или состояний)
В клинической практике встречаются следующие формы перикардита:
Острый перикардит – это воспалительное поражение перикарда с выпотом или без выпота в его полость. Болезнь имеет острое начало, в дебюте отмечается боль в груди, обычно острая, но также может быть описана как тупая, сдавливающая или пульсирующая. Обычно она усиливается в положении лежа на спине и ослабевает или проходит, когда пациент садится или наклоняется вперед. Вдох и кашель могут усилить боль, что требует дифференциального диагноза с плевритом. Боль может отдавать в спину и плечи [1,4,11,13].
В младшем возрасте часто отмечаются боли в животе, диспептические явления, рвота, болезненность при пальпации, заставляющие исключать хирургическую патологию брюшной полости и заболевания желудочно-кишечного тракта. Возможно усиление боли при быстром отклонении головы назад (симптом Герке). Эквивалентом болевого синдрома у грудных детей могут быть внезапные, немотивированные приступы резкого беспокойства, побледнения, иногда рвоты, усиления одышки и тахикардии [1,4,11,13].
Возможны слабость, лихорадка, миалгии, нарушения сердечного ритма. Одышка развивается реже, ее появление или усиление свидетельствуют о нарастании объема экссудата. При быстром накоплении выпота возможна боль в животе, вызванная растяжением капсулы печени. При осмотре выявляют шум трения перикарда, который лучше слышен вдоль левого края грудины при наклоне пациента вперед, однако при большом объеме выпота шум трения перикарда может отсутствовать [1,4,13,15].
Рецидивирующий перикардит – при идиопатическом рецидивирующем перикардите отмечается чередование эпизодов ремиссии и стерильного воспаления в околосердечной сумке в сочетании с лихорадкой и повышением белков острой фазы воспаления, у ряда пациентов регистрируют полисерозит, артралгии, миалгии, поражение печени [16].
Хронический перикардит – клиническая картина не имеет принципиальных отличий от рецидивирующего, однако симптомы могут быть менее выражены [16].
Констриктивный перикардит – вызывается воспалением, фиброзом и кальцификацией перикарда с последующим развитием диастолической право- и/или левожелудочковой сердечной недостаточности [17]. Начальный период заболевания характеризуется появлением нарушений гемодинамики только при физической нагрузке. Классическая клиническая картина в периоде выраженных клинических проявлений характеризуется симптомами преимущественно правожелудочковой сердечной недостаточности при отсутствии дисфункции желудочков. Пациенты предъявляют жалобы на утомляемость, периферические отёки, нехватку воздуха, увеличение живота в объеме. Также отмечаются сдавление верхней и нижней полых вен в местах их впадения в правое предсердие, вследствие чего появляется набухание шейных вен, усиливающееся на вдохе, и одутловатость лица. Вследствие развития венозного застоя отмечается гепатомегалия, плевральный выпот и асцит. Отмечается широкая вариабельность длительности периода между исходным воспалением перикарда и началом констрикции, возможна как прямая эволюция подострого/хронического перикардита в констриктивный перикардит, так и длительное развитие симптомов, вплоть до нескольких лет [4,18].
Тампонада сердца – жизнеугрожающее состояние, возникающее после внезапного и/или чрезмерного скопления жидкости, гноя, крови или газа в перикардиальном пространстве, что ограничивает адекватное наполнение камер сердца, нарушает нормальную гемодинамику и, в конечном итоге, вызывает гипотонию и остановку сердца.
Клиническими признаками тампонады сердца являются резкая слабость, головокружение, возможно развитие синкопального состояния. Типичная поза пациента – сидя с наклоном вперед. При осмотре бледность кожных покровов, холодный пот, цианоз, тахикардия, одышка, гипотензия, глухие тоны сердца, появление или нарастание гепатомегалии, асцита и отеков. Специфическим симптомом является парадоксальный пульс, определяемый как снижение систолического артериального давления на вдохе более чем на 10 мм.рт.ст. при спокойном дыхании. Сочетание артериальной гипотензии, ослабления тонов сердца и расширения яремных вен носит название триады Бека. Выраженность гемодинамических нарушений зависит от скорости развития тампонады, количества содержимого, растяжимости перикарда, давлений наполнения и подвижности камер сердца [1,4,18]. Тампонада сердца чаще осложняет первый приступ перикардита, чем рецидивы.
Диагностика
Диагностика заболевания или состояния (группы заболеваний или состояний) медицинские показания и противопоказания к применению методов диагностики
Согласно рекомендациям Европейского общества кардиологов (2015 г.), для постановки диагноза острый перикардит необходимы, как минимум, 2 из 4 критериев: 1) боль в груди; 2) шум трения перикарда; 3) изменения на электрокардиограмме и 4) наличие перикардиального выпота [1].
Для оценки активности заболевания определяют маркеры воспаления (например, исследование уровня С-реактивного белка в сыворотке крови, исследование скорости оседания эритроцитов и дифференцированный подсчет лейкоцитов (лейкоцитарная формула) в крови) и признаки воспалительного поражения перикарда с помощью различных методов визуализации (компьютерная томография или магнитно-резонансная томография сердца с контрастированием [1].
Учитывая ограниченное количество исследований по перикардиту в группе педиатрических пациентов, в настоящее время отсутствуют научно обоснованные рекомендации по мультимодальной визуализации при детском перикардите, в отличие от взрослых. Необходимость использования дополнительных диагностических исследований зависят от этиологии перикардита, является ли он изолированным или частью системного заболевания, а также от длительности течения [1,4,19,20].
1. Жалобы и анамнез
- Рекомендуется провести оценку жалоб и сбор анамнеза всем пациентам при подозрении на перикардит [1,4,11,21].
УУР С, УДД 5
Сбор анамнеза должен включать в себя следующие положения
- сроки возникновения симптомов и их изменение в динамике
- предшествующие эпизоды вирусных, бактериальных инфекций
- наличие сопутствующий заболеваний (ДБСТ, системные васкулиты, аутовоспалительные синдромы, гипотиреоз, ПН, амилоидоз, опухоли), данных о диспансерном учете у врача-детского-кардиолога или иных специалистов, оперативных вмешательствах (коррекция ВПС и тд.)
- данные о профилактических прививках и туберкулиновых пробах
- эпидемиологический анамнез
- данные о медикаментозной терапии, которую получает пациент на момент осмотра (лекарственные средства и токсины, ассоциированные с заболеваниями перикарда: прокаинамид**, метилдопа**, изониазид** (синдром лекарственной волчанки); бензилпенициллин**, триптофан, кромоглициевая кислота** (реакция гиперчувствительности); миноксидил, циклоспорин**, бромокриптин**, амиодарон**, сульфаниламиды (идиосинкразия); ингибиторы тирозинкиназы (цитотоксичность химиотерапии).
Основной жалобой пациентов с острым перикардитом, которая выявляется у подавляющего большинства пациентов, является боль в груди.
Комментарии: характер болевого синдрома широко варьирует от умеренных до «инфарктоподобных», отмечается связь со вдохом, кашлем, переменой положения тела, а также иррадиация в трапециевидную мышцу, характерно уменьшение интенсивности боли в положении сидя с наклоном вперёд.
Одышка наиболее часто имеет место при остром перикардите и обусловлена развитием диастолической дисфункции.
В рамках системного заболевания могут преобладать внекардиальные проявления основного заболевания (лихорадка, ночная потливость, артрит, потеря веса и сыпь). Редко отмечаются боли в животе и диспепсические явления, преимущественно в младшем возрасте. Эквивалентом болевого синдрома у грудных детей могут быть внезапные, немотивированные приступы резкого беспокойства, побледнения, одышки и тахикардии, иногда рвоты [1,4,11,21].
В исследовании Ratnapalan S. et al. наиболее распространенными симптомами острого перикардита среди детей и подростков, поступивших в отделение неотложной помощи, были боль в груди (96%), лихорадка (55%) и рвота (32%), реже отмечались кашель, одышка и повышенная утомляемость [11].
2. Физикальное обследование
- Рекомендуется проведение физикального исследования, пальпации, перкуссии, аускультации при патологии сердца и перикарда всем пациентам при подозрении на перикардит [1,4,11,21-24].
УУР С, УДД 5.
При осмотре ребенка необходимо обращать внимание на:
- вынужденную позу: сидя с наклоном туловища вперед, иногда с опорой на лоб
- реже отмечаются выпячивание в области сердца и мечевидного отростка, отсутствие активных дыхательных движения мышц в области эпигастрия, сглаженность межреберных промежутков слева
- при констриктивном перикардите выявляются отечность лица и шеи, акроцианоз, одышка, симптом Куссмауля (набухание шейных вен на вдохе), парадоксальный пульс, признаки право- и левожелудочковой сердечной недостаточноcти.
При пальпации верхушечный толчок сердца резко ослаблен и смещен вверх и кнутри, в положении лежа усиливается.
При перкуссии границы относительной сердечной тупости резко расширены влево (кнаружи от сердечного толчка), вправо и вверх и меняются в зависимости от положения тела больного. При значительном выпоте определяется притупление перкуторного звука бронхиальный оттенок дыхания и бронхофония книзу от угла левой лопатки (синдром Эварта), вследствие сдавления нижней доли левого легкого. При наклоне больного вперед жидкость в перикарде смещается и легкое расправляется, что сопровождается исчезновением тупости и появлением крепитирущих хрипов (признак Пинса).
При аускультации сердца:
- тоны сердца будут приглушены в зависимости от объема и характера выпота.
- может отмечаться тахикардия без других признаков сердечной недостаточности.
- шум трения перикарда является специфичным признаком острого перикардита, может выслушиваться по левому нижнему краю грудины и усиливаться при наклоне вперед, не имеет связи с сердечными тонами и фазами сердечного цикла, но зависит от фазы дыхания.
- при констриктивном перикардите появляется трехчленный сердечный ритм (определяется «тон броска» – дополнительный звук в начале диастолы, характеризующий быстрое диастолическое наполнение).
Комментарии: шум трения перикарда может быть узко-локализованным (выслушиваться в одной точке) или распространенным, но всегда ограничен зоной абсолютной сердечной тупости, сильно варьирует по тембру от нежного, короткого до грубого «скребущего» или «скрипящего» (при увеличении фибринозных наложений на листках перикарда), выслушивается либо только на выдохе, либо только на вдохе, тогда как плевральный шум можно выслушать только во время вдоха, что используется для дифференциальной диагностики.
При осмотре ребенка с острой тампонадой сердца будет манифестировать триада Бека – гипотензия, набухание вен шеи и глухость сердечных тонов. Важным диагностическим критерием будет наличие парадоксального пульса – инспираторное снижение систолического артериального давления на 10 мм рт. ст. и более при нормальном дыхании. Для постепенно нарастающей тампонады клиническая картина напоминает нарастание сердечной недостаточности (преимущественно правожелудочковой): беспокойство, бледность, холодный пот, акроцианоз, ортопное, нарастание одышки и тахикардии, гепатомегалия, набухание шейный вен, парадоксальный пульс. Тампонада сердца чаще всего регистрируется у пациентов с острым перикардитом специфической этиологии (злокачественные новообразования, туберкулез и др.).
3. Лабораторные диагностические исследования
Важным моментом является интерпретация результатов лабораторных тестов в совокупности с клинической картиной и данными инструментальных методов обследования, так как патогномоничные лабораторные маркеры для перикардита отсутствуют.
- Рекомендуется проведение общего (клинического) анализа крови, исследование скорости оседания эритроцитов (СОЭ), исследование уровня С-реактивного белка в сыворотке крови у всех пациентов с подозрением на перикардит в рамках первичного обследования и в процессе динамического наблюдения [1,2].
УУР С, УДД 5
Комментарии: изменения в общем (клиническом) анализе крови определяются этиологией процесса (вирусной, бактериальной, аутоиммунной, аллергической), его остротой и активностью, но не являются ни чувствительными, ни специфичными для острого перикардита. Однако маркеры воспаления играют важную роль в определении активности процесса и оптимальной продолжительности терапии.
- Рекомендуется проведение исследование уровня креатинина, натрия, калия, глюкозы, общего белка, общего билирубина, мочевой кислоты в крови, исследование уровня C-реактивного белка в сыворотке крови, определение активности аспартатаминотрансферазы и аланинаминотрансферазы, общего билирубина, мочевой кислоты в крови у всех пациентов с подозрением на перикардит в рамках первичного обследования и в процессе динамического наблюдения для исключения сопутствующих заболеваний [1,2].
УУР С, УДД 5
Комментарии: отмечается диспротеинемия (гипоальбуминемия, увеличение α2 и γ-глобулинов), уровень креатинина и сывороточного калия повышен при уремии. Активность ЛДГ, АЛТ, АСТ – отражает активность общего инфекционно-воспалительного процесса.
- Рекомендуется проведение исследование уровня тропонинов I, T в крови и уровня МВ-фракции креатинкиназы в крови у всех пациентов с перикардитом в рамках первичного обследования и в процессе динамического наблюдения [1,4,24,25].
УУР С, УДД 4
Комментарии: сердечные изоферменты (тропонин, креатинфосфокиназы МВ (КФК-МВ) повышаются при остром перикардите у 30% исследуемых, как правило, с выраженной элевацией ST по ЭКГ, чаще при сопутствующем миокардите. В отличие от острого коронарного синдрома повышение тропонина I или Т не является отрицательным прогностическим маркером при миоперикардите.
Другие лабораторные исследования проводятся для уточнения предполагаемой этиологии перикардита [21]:
- внутрикожная проба с туберкулезным аллергеном (аллерген туберкулезный рекомбинантный в стандартном разведении** и аллергены бактерий**;
- микробиологическое (культуральное) исследование крови на стерильность;
- вирусологические исследования крови методами ПЦР (Определение ДНК цитомегаловируса (Cytomegalovirus) в крови методом ПЦР, качественное определение; Определение ДНК вируса Эпштейна-Барр (Epstein-Barr virus) методом ПЦР в крови, качественное исследование; определение ДНК вируса герпеса 6 типа (HHV6) методом ПЦР в крови, качественное исследование; определение ДНК вируса простого герпеса 1 и 2 типов (Herpes simplex virus types 1, 2) методом ПЦР в крови, качественное исследование; определение ДНК парвовируса B19 (Parvovirus B19) методом ПЦР в периферической крови, количественное исследование; определение ДНК вируса ветряной оспы и опоясывающего лишая (Varicella-Zoster virus) в крови методом ПЦР, качественное исследование; определение ДНК аденовирусов (Adenovirus)
- определение ДНК вируса иммунодефицита человека методом ПЦР, качественное исследование;
- определение РНК вируса гепатита C (Hepatitis C virus) в крови методом ПЦР, количественное исследование; определение ДНК вируса гепатита B (Hepatitis B virus) в крови методом ПЦР, количественное исследование;
- определение ДНК Mycoplasma pneumoniae в крови методом ПЦР, Молекулярно-биологическое исследование крови на Chlamydophila pneumoniae методом ПЦР
- исследование уровня прокальцитонина в крови;
- коагулограмма (ориентировочное исследование системы гемостаза);
- определение содержания антинуклеарного фактора на HEp-2 клеточной линии, определение содержания ревматоидного фактора в крови, определение содержания антител к кардиолипину в крови (при СКВ, ревматоидном артрите и др.); определение антистрептолизина-O в сыворотке крови (при острой ревматической лихорадке);
- определение титра антистрептолизина-O в сыворотке (при ревматизме);
- исследование уровня общего трийодтиронина (Т3) в крови, исследование уровня свободного трийодтиронина (СТ3) в крови, исследование уровня свободного тироксина (СТ4) сыворотки крови. исследование уровня тиреотропного гормона (ТТГ) в крови
- Рекомендуется проведение общего (клинического) анализа мочи всем пациентам с подозрением на перикардит в рамках первичного обследования и в процессе динамического наблюдения [1,2].
УУР С, УДД 5
4. Инструментальные диагностические исследования
- Рекомендуется регистрация электрокардиограммы (ЭКГ) в 12 отведениях в покое всем пациентам с подозрением на перикардит [1,4,10,11,19-21,26].
УУР С, УДД 5
Комментарии: для острого перикардита характерны распространённый подъём ST или депрессия PR, при этом отмечается стадийность изменений (рисунок 1,2):
- 1 фаза: распространенный подъем сегмента ST, депрессия сегмента PR;
- 2 фаза: подъем ST нивелируется, снижение амплитуды зубцов Т
- 3 фаза: инверсия зубцов Т;
- 4 фаза: нормализация ЭКГ параметров;
Следует помнить, что изменения на ЭКГ связаны с вовлечением миокарда, прилежащего к эпикарду. Депрессия сегмента PR с подъемом сегмента ST достаточно специфичны для перикардита, но до 40% больных имеют атипичные изменения или полное их отсутствие.

Рисунок 1. Стадийность ЭКГ изменений при остром перикардите (1-4 фазы слева направо) [26].

Рисунок 2. ЭКГ-признаки острого перикардита: элевация сегмента ST в отведениях II, III, aVF и незначительная элевация ST в V4-V6 (черные стрелки; депрессия сегмента ST в aVL (синие стрелки) [27].
- Рекомендуется проведение эхокардиографии (ЭхоКГ) всем пациентам с подозрением на перикардит [1,4,11,19-21,28,29].
УУР С, УДД 3
Комментарии: эхокардиография является диагностическим тестом первой линии и может помочь не только в верификации диагноза, но и в выявлении пациентов с высоким риском развития осложнений.
ЭхоКГ позволяет оценить количество выпота в перикарде, измеряя его между листками перикарда в диастолу в сантиметрах.
В соответствии с этим размером выделяют:
- Незначительный выпот (видимый только в систолу)
- Малый выпот – сепарация листков перикарда в диастолу <10 мм
- Умеренный выпот – сепарация 10-20 мм
- Большой выпот – сепарация 21-25 мм
- Очень большой выпот – сепарация >25 мм – «плавающее сердце».
Также по данным ЭхоКГ при перикардите могут быть выявлены такие особенности перикардиального выпота, как наличие фибринозных нитей и сгустков.
По данным ЭхоКГ при тампонаде сердца выявляются следующие изменения: «плавающее» сердце», ранний диастолический коллапс правого желудочка, поздний диастолический коллапс правого предсердия, расширение нижней полой вены, которая практически не спадается на вдохе, аномальное движение межжелудочковой перегородки, повышенная дыхательная вариабельность (>25%) скорости митрального потока, снижение на вдохе и повышение на выдохе прямого диастолического потока в лёгочных венах, дыхательная вариабельность объёмов желудочков, скорости потока в аорту (видимость парадоксального пульса по ЭхоКГ) и переполнение нижней полой вены) [30] (рисунок 3).
- Рекомендуется проведение рентгенографии сердца в трех проекциях и легких всем пациентам с подозрением на перикардит [31].
УУР С, УДД 4
Комментарии: по данным прицельной рентгенографии органов грудной клетки у пациентов с острым перикардитом редко выявляют патологические изменения, поскольку увеличение кардиоторакального индекса возникает только при перикардиальном выпоте более 300 мл. К ранним признакам экссудативного перикардита можно отнести изменение конфигурации тени сердца («шарообразная», «треугольная», «трапециевидная»). В случае вовлечения в патологический процесс плевры у пациентов с перикардитом могут обнаруживаться признаки поражения плевроперикарда.

Рисунок 3. ЭхоКГ при тампонаде сердца: коллапс правого желудочка (слева), коллапс правого и левого предсердий (справа) [31].
- Рекомендуется проведение магнитно-резонансной томографии сердца с контрастированием пациентам с подозрением на перикардит [1,4,29-32].
УУР С, УДД 5
Комментарии: МРТ сердца с контрастированием проводится в случаях, когда выпот не определяется при ЭхоКГ, либо когда предполагается специфическая локализация выпота, либо при вовлечении в патологический процесс миокарда [1,4,29-32].
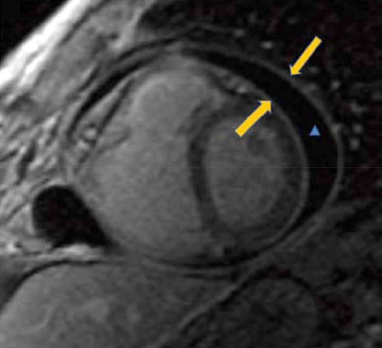
МРТ сердца с контрастированием обладает высокой чувствительностью в идентификации стадии воспаления и определения фазы заболевания. Позднее накопление препаратов гадолиния (АТХ V08CA Парамагнитные контрастные средства) при магнитно-резонансной томографии сердца с контрастированием обладает 94% чувствительностью в определении степени воспалительного поражения перикарда (рисунок 4) [33].

Рисунок 4. Позднее накопление препаратов гадолиния (АТХ V08CA Парамагнитные контрастные средства) при магнитно-резонансной томографии сердца с контрастированием. Незначительное утолщение париетального и висцерального листков перикарда (желтые стрелки) и перикардиальный выпот между ними (синяя стрелка) [33].
- Рекомендуется проведение компьютерной томографии сердца с контрастированием пациентам с перикардитом для выявления воспалительных изменений, утолщения и кальцификации перикарда, а также косвенного определения характера перикардиальной жидкости [1,4].
УУР С, УДД 5
5. Иные диагностические исследования
Анализ перикардиальной жидкости, полученной при перикардиоцентезе. Перикардиоцентез используется как в диагностических, так и в терапевтических целях
Показаниями к перикардиоцентезу являются [1,4,20,32-35]:
- Признаки тампонады сердца.
- Умеренный/выраженный выпот, сопровождающийся клиническими симптомами и не отвечающий на лекарственную терапию.
- При наличии большого перикардиального выпота диагностический перикардиоцентез показан при подозрении на бактериальную или опухолевую природу, когда диагноз может быть установлен только путем идентификации этиологического агента в перикардиальной жидкости.
Комментарии: определяют плотность, рН перикардиальной жидкости, число форменных элементов, содержание белка, концентрацию глюкозы и триглицеридов. Однако, данные показатели не являются специфическими и не позволяют установить этиологию. При подозрении на онкологические заболевания проводят цитологическое исследование и анализ опухолевых маркеров. При подозрении на туберкулез проводят молекулярно-биологическое исследование перикардиальной жидкости для дифференциации видов Mycobacterium tuberculosis complex (M. tuberculosis, M. bovis, M. bovis BCG. С целью поиска этиологии проводят посев на флору, микробиологическое (культуральное) исследование перикардиальной жидкости на аэробные и факультативно-анаэробные микроорганизмы, для подтверждения вирусной этиологии, используют ПЦР метод для выявления инфекционного агента.
Лечение
Лечение, включая медикаментозную и немедикаментозную терапии, диетотерапию, обезболивание, медицинские показания и противопоказания к применению методов лечения
Существует ограниченное количество исследований по лечению перикардитов у детей [8]. Рандомизированные клинические исследования в педиатрической группе не проводись. В основу данных рекомендаций положены рекомендациям Европейского общества кардиологов по диагностике и лечению заболеваний перикарда 2015 г [1], которые основаны на мнение экспертов, либо заимствованы из исследований, проведенных у взрослых [8,36].
Лечение перикардитов включает немедикаментозное (режим, диетотерапию), медикаментозную терапию (этиотропную, симптоматическую, терапию основного заболевания), лечение осложнений, хирургическое лечение.
1. Консервативное лечение
1. Лечение острого перикардита
Немедикаментозное лечение.
- Рекомендуется резкое ограничение физической активности и строгий постельный режим в первые дни болезни и на всё время декомпенсированного течения заболевания пациентам с острым перикардитом [1,37,38].
УУР С, УДД 5
Комментарии: при достижении компенсированного состояния ребенок переводится на полупостельный режим, который продолжается весь период наличия болевого синдрома, лихорадки, до нормализации биохимических показателей воспалительного процесса [1,37,38].
- Рекомендовано отстранение от занятий спортом не менее чем на 3 месяца лицам, занимающимся профессиональным спортом [1,39-43].
ЕОК IIaC (УДД 5 УУР C)
Комментарии: возобновление тренировок через 3 месяца после острого перикардита возможно только после стойкого исчезновения клинической симптоматики и нормализации уровня маркеров воспаления (CРБ, СОЭ), ЭКГ и данных ЭхоКГ [1,39-43].
Медикаментозное лечение.
Основой медикаментозной терапии является назначение препаратов, обладающих противовоспалительным действием. #Ибупрофен**, #Нимесулид и #колхицин являются базовыми препаратами для лечения острого неспецифического перикардита. По показаниям могут назначаться глюкокортикоиды. Выбор препарата должен основываться на анамнестических данных, в том числе на анализе эффективности ранее использованных препаратов, индивидуальной переносимости с учетом имеющихся у больного противопоказаний к приему препарата в связи с наличием сопутствующих заболеваний. [1,8,14,15,25,26,36].
В таблице 2 представлена стратегия выбора лекарственных средств у детей, согласно рекомендациям ESC по диагностике и лечению заболеваний перикарда 2015 г [1].
Таблица 2.
Стратегия выбора лекарственных средств для лечения перикардита, классы показаний согласно рекомендациям Европейского Общества Кардиологов (ЕОК) [1].
Стратегия выбора лекарственных средств для лечения перикардита, классы показаний согласно рекомендациям Европейского Общества Кардиологов (ЕОК) [1].
| Линия в терапии | Группы препаратов | Рекомендации | Класс рекомендаций | Уровень доказательности |
| 1я линия | Нестероидные противовоспалительные и противоревматические препараты (НПВП) | Большие дозы НПВП рекомендуются в качестве терапии первой линии при остром перикардите. Назначаются до исчезновения симптомов. | I | C |
| #Ацетилсалициловая кислота** (#АСК**) не рекомендуется детям младше 12 лет из-за риска развития синдрома Рея и гепатотоксичности. | III | C | ||
| #Колхицин | #Колхицин рекомендуется в качестве дополнения к НПВП при остром или рецидивирующем перикардите у детей. | IIa | C | |
| Альтернативные препараты | Глюкокортикоиды | Глюкокортикоиды не рекомендуются в качестве первой линии терапии перикардита из-за побочных эффектов. | III | С |
| Малые дозы глюкокортикоидов можно рассматривать для лечения рефрактерного перикардита у пациентов, получающих НПВП и #колхицин, или у пациентов, которые не переносят или у них имеются противопоказания к назначению НПВП и #колхицина. | IIa | С | ||
| Блокатор ИЛ-1 (ингибиторы интерлейкина) | Эти препараты можно рассмотреть у детей с рецидивирующим перикардитом, которые считаются кортикостероидозависимыми. | IIb | С |
ИЛ-1; интерлейкин 1; НПВП, нестероидные противовоспалительные и противоревматические препараты
- Рекомендуется в качестве первой линии терапии назначать нестероидные противовоспалительные и противоревматические препараты пациентам при остром перикардите [1,8,15,25,26].
ЕОК IС (УДД 5 УУР C)
Комментарии: с целью достижения быстрого контроля над симптомами перикардита используются высокие дозы НПВП. Фармакотерапия, по-видимому, оказывает наиболее существенное влияние на частоту рецидивов у пациентов с идиопатическим перикардитом, поскольку частота рецидивирующего перикардита может достигать более 50% пациентов, получающих неадекватное лечение [1,14,15,25,36]. Клинический опыт показывает, что терапия НПВП позволяет стабилизировать 90-95% случаев всех перикардитов.
Препаратом первого выбора у детей с 3-х месяцев жизни является #Ибупрофен** (код АТХ: M01AE01) в дозе 30-50 мг/кг/сут (максимально 600 мг на прием или 1,8 г/сут) в 3 приема каждые 8 часов. Снижение дозы осуществляется постепенно: на 2 мг/кг/на прием каждые 8 часов – 1 раз в 1-2 недели после нормализации уровня С-реактивного белка (СРБ); после достижения дозы 4 мг/кг/на прием каждые 8 часов – препарат можно отменить [36]. #Ибупрофен** оказывает благоприятное влияние на коронарный кровоток. Выбор #ибупрофена** в качестве препарата первой линии у детей обусловлен минимальным количеством побочных эффектов.
#Индометацин (код АТХ: М01АВ01) назначается детям с 2 лет по 0,25-1 мг/кг/на прием каждые 6-12 часов (максимальная доза 50 мг/на прием или 150 мг/сут.). Снижение дозы осуществляется постепенно: на 0,25 мг/кг/на прием каждые 6-12 часов 1 раз в 1-2 недели; после достижения дозы 0,25 мг/кг/на прием каждые 12 часов – препарат может быть полностью отменен [1,36,44].
#Напроксен (код АТХ: M01AE02) назначается детям старше 2 лет в дозе 5-7,5 мг/кг/на прием каждые 12 часов перорально (максимальная доза 500 мг/на прием или 1 г/день). Снижение дозы осуществляется постепенно: на 0,25 мг/кг/на прием каждые 6-12 часов 1 раз в 1-2 недели; после достижения дозы 0,25 мг/кг/на прием каждые 12 часов – препарат может быть полностью отменен [1,36,44].
#Кеторолак** (код АТХ: М01АВ15) назначается в исключительных случаях, когда пациент не может принимать пероральные препараты, только в условиях стационара. Доза для детей в возрасте 2-16 лет или при весе <50 кг: 0,5 мг/кг/на прием в/в каждые 6 часов (максимальная доза 15 мг/на введение или 60 мг/сут.) в течение 1-4 дня внутривенно. В возрасте >17 лет или при весе >50 кг: 30 мг внутривенно каждые 6 часов (максимальная доза 120 мг/сут.) в течение 1-4 дня внутривенно [36].
- Не рекомендуется назначение #АСК** (код АТХ: N02BA01) в качестве рутинного для лечения острого и рецидивирующего перикардита у детей из-за риска развития синдрома Рея [1,36,44].
ЕОК III (УДД 5 УУР C)
В связи с отсутствием рандомизированных контролируемых исследований у детей, сравнивающих эффективность тех или иных НПВП, клиницисты должны выбирать препарат, основываясь на своем опыте работы и доступности лекарственных форм [1,44].
Как только у пациентов с острым перикардитом наступает исчезновение симптомов и наблюдается нормализация маркеров воспаления, включая СРБ, можно начинать постепенное снижение дозы НПВП в течение 3-4 недель. Однако, некоторым пациентам с рецидивирующим перикардитом может потребоваться более продолжительное лечение и более длительный период отмены – от нескольких недель до нескольких месяцев [1].
В таблице 3 представлены обобщенные данные о наиболее часто использующихся у детей НПВП, их дозы, схема отмены, побочные эффекты наиболее изученных НПВП.
Таблица 3.
Дозирование, мониторинг и клинические рекомендации по использованию НПВП при идиопатическом перикардите у детей [1,36].
Дозирование, мониторинг и клинические рекомендации по использованию НПВП при идиопатическом перикардите у детей [1,36].
| Препарат | Доза и способ введения | Рекомендации по отмене | Нежелательные явления | Мониторинг |
| #Ибупрофен** | Рекомендации ESC 2015 г.: 10-16 мг/кг/на прием каждые 8 часов перорально (максимум 600 мг/на прием или 1,8 г/день). | Снижение дозы 1 раз в 1-2 недели на 2 мг/кг/на прием каждые 8 часов; после достижения дозы 4 мг/кг/на прием каждые 8 часов – препарат можно отменить |
Расстройства ЖКТ; Кровотечение;
Острое почечное повреждение;
Тромбоцитопения; головные боли, головокружения и др.
|
Общий (клинический) анализ крови развернутый; исследование уровня креатинина в крови; наличие симптомов (головная боль, головокружение, спутанность сознания) |
| #Индометацин | Рекомендации ESC 2015 г.: дети старше 2 лет – 0,25-1 мг/кг/на прием каждые 6-12 часов перорально (максимально допустимая доза 50 мг/на прием или 150 мг/сут.). | Снижение дозы 1 раз в 1-2 недели на 0,25 мг/кг/на прием каждые 6-12 часов; после достижения дозы 0,25 мг/кг/на прием каждые 12 часов – препарат можно отменить | Те же, что и для #ибупрофена** | Те же, что и для #ибупрофена** |
| #Напроксен | Рекомендации ESC 2015 г.: дети старше 2 лет – 5-7,5 мг/кг/доза каждые 12 часов перорально (максимальная доза 500 мг/на прием или 1 г/день) | Снижение дозы 1 раз в 1-2 недели на 2,5 мг/кг/на прием каждые 12 часов; после достижения дозы 2,5 мг/кг/на прием каждые 12 часов – препарат можно отменить | Те же, что и для #ибупрофена** | Те же, что и для #ибупрофена** |
| #Кеторолак** | Доза для детей в возрасте 2-16 лет или при весе <50 кг: 0,5 мг/кг/на прием в/в каждые 6 часов (максимальная доза 15 мг/на введение или 60 мг/сут.) в течение <5 дней внутривенно. В возрасте >17 лет или при весе >50 кг: 30 мг внутривенно каждые 6 часов (максимальная доза 120 мг/сут.) в течение <5 дней внутривенно | Одномоментно | Те же, что и для #ибупрофена** | Те же, что и для #ибупрофена** |
| #Ацетилсалициловая кислота** (#АСК**) | Не показано рутинное назначение из-за риска развития синдрома Рея. | - | - | - |
- Рекомендуется назначение #колхицина пациентам с перикардитом в качестве дополнения к терапии НПВП или в виде монотерапии, в случае непереносимости НПВП [1,36].
ЕОК IIа С (УДД 5 УУР C)
Комментарии: с учетом высокой частоты рецидивирующего течения острого перикардита у детей для профилактики рецидива и повышения ответа на медикаментозную терапию, к НПВП возможно присоединить #колхицин).
Не столь высокий уровень рекомендации связан с тем, что на момент написания клинических рекомендаций ESC в 2015 году данные, касающиеся применения #колхицина были скудными и противоречивыми. Однако с тех пор было опубликовано больше данных, которые позволяют использовать #колхицин при лечении перикардита у детей [8,14,15,36].
В ряде исследований было продемонстрировано, что прием #колхицина был связан с более низкой частотой рецидивов, чем при лечении без #колхицина [8,14,15,36].
В настоящее время #колхицин не имеет показаний для лечения перикардита у взрослых и детей и используется в качестве терапии off-label [36].
В рекомендациях ESC 2015 года рекомендуется #колхицин в дозе 0,5 мг/сут. в 2 приема у пациентов младше 5 лет и от 1,0 до 1,5 мг/сут. 2-3 раза в день у пациентов старше 5 лет [1].
При остром перикардите длительность приема составляет 3 месяца, при рецидивирующем – 6-12 месяцев [1,8,14,15,36].
Продолжительность лечения может быть пролонгирована (при хорошей переносимости препарата и отсутствии побочных эффектов) до полного исчезновения клинической симптоматики [1,14,45-47]. Отменять #колхицин постепенно необязательно, но такой режим отмены позволяет дополнительно снизить риски развития рецидива [20,26,27,36].
- Не рекомендуется назначение глюкокортикоидов в качестве первой линии терапии при у пациентов с перикардитом [1,27,36].
ЕОК IIIC (УДД 5 УУР C)
- Рекомендуется назначение малых доз глюкокортикоидов для лечения рецидивирующего перикардита, резистентного к лечению НПВП в сочетании с #колхицином, или в случаях, когда НПВП и #колхицин противопоказаны или плохо переносятся [1].
ЕОК IA (УДД 5 УУР C)
Назначение системных глюкокортикоидов показано при перикардитах, протекающих на фоне аутоиммунных заболеваний, уремических перикардитах или при рецидивирующих перикардитах с выраженной симптоматикой [1,25,46,47].
Стоит отметить, что на терапии глюкокортикоидами существует риск хронизации течения заболевания [36].
Хотя кортикостероиды системного действия эффективны на начальном этапе лечения перикардита, быстрое снижение дозы препарата из-за опасений развития системных побочных эффектов, может способствовать развитию постоянного перикардита и/или рецидивов симптомов перикардита [20,36,46].
Следует стараться использовать системные глюкокортикоиды в небольших терапевтических дозах #преднизолон** 0,25-0,5 мг/кг в день или в эквивалентных дозах другие глюкокортикоиды.
- Не рекомендуется использовать высокие дозы глюкокортикоидов (#преднизолон** 1,0-1,5 мг/кг в день или в эквивалентных дозах другие глюкокортикоиды) [1,18,20,29,48].
ЕОК III (УДД 3 УУР C)
Комментарии: Начальная доза должна продолжаться до разрешения симптомов и нормализации всех лабораторных, включая СРБ и инструментальных отклонений, затем постепенно отменяться [18,20,29,36,46,47].
Период постепенного снижения дозы кортикостероидов системного действия может занять несколько месяцев. В таблицах 4 и 5 представлены схемы снижение дозы #преднизолона** у детей.
Таблица 4.
Рекомендации по снижению дозы #преднизолона** при расчете суточной дозы в мг/кг [48].
Рекомендации по снижению дозы #преднизолона** при расчете суточной дозы в мг/кг [48].
| Суточная доза (по #преднизолону**) | Шаг снижения |
| >0,7 мг/кг | 0,14 мг/кг/сутки каждые 1-2 недели |
| 0,35-0,7 мг/кг | 0,07-0,14 мг/кг/сутки каждые 1-2 недели |
| 0,2-0,35 мг/кг | 0,035 мг/кг/сутки каждые 2-4 недели |
| <0,2 мг/кг | 0,017-0,035 мг/кг/сутки каждые 2-6 недель |
Таблица 5.
Рекомендации по снижению дозы #преднизолона** при расчете суточной дозы в мг [1].
| Суточная доза (по #преднизолону**) | Шаг снижения |
| >50 мг | 10 мг в сутки каждые 1-2 недели |
| 50-25 мг | 5-10 мг в сутки каждые 1-2 недели |
| 25-15 мг | 2,5 мг в сутки каждые 2-4 недели |
| <15 мг | 1,25-2,5 мг в сутки каждые 2-6 недель |
При возобновлении симптомов на фоне снижения дозы глюкокортикоидов, необходимо вновь вернуться к последней эффективной дозе на 2-3 месяца с последующей попыткой медленного снижения [1,48].
- Рекомендуется назначение препаратов: #Ибупрофен** и #Колхицин, тогда как глюкокортикоиды следует рассматривать только как средство второй линии терапии, всем пациентам для лечения острого неспецифического перикардита [1,29,36,46,47].
ЕОК IA (УДД 5 УУР C)
- Рекомендуется назначение гастропротективной терапии всем пациентам, находящимся на терапии НПВП, #Колхицином, глюкокортикоидами [1,36,45].
ЕОК IA (УДД 5 УУР C)
Комментарии: у детей предпочтительно использовать ингибиторы протонного насоса и антациды [36,45].
- Рекомендуется проводить оценку эффективности проводимой противовоспалительной терапии через 1 неделю от начала лечения всем пациентам с острым перикардитом [1,46,47].
ЕОК IB (УДД 5 УУР C)
2. Лечение рецидивирующего перикардита
Немедикаментозное лечение.
- Рекомендуется ограничить физические нагрузки пациентам на период рецидива перикардита до разрешения симптомов заболевания и нормализации уровня C-реактивного белка в сыворотке крови [1,26].
ЕОК IIaC (УДД 5 УУР C)
- Рекомендуется ограничить физические нагрузки детям-спортсменам после развития рецидива перикардита на 3 месяца до разрешения симптомов заболевания, нормализации уровня C-реактивного белка в сыворотке крови, электрокардиограммы и эхокардиограммы [1,26,39-43].
ЕОК IIaC (УДД 5 УУР C)
Медикаментозное лечение.
- Рекомендуется назначение НПВП (#ибупрофен**, #индометацин, #нимесулид, #диклофенак**, #напроксен) у пациентов с рецидивирующим перикардитом в качестве первой линии терапии [1,8,36,37,48].
ЕОК IA (УДД 5 УУР C)
- Рекомендуется назначение #колхицина в качестве первой линии терапии у пациентов с рецидивирующим перикардитом [1,26,49].
ЕОК IIA (УДД 5 УУР C)
Комментарии: у больных с рецидивирующим перикардитом #колхицин применяется либо в качестве монотерапии, либо в комбинации с НПВП [1,26,49].
Эффективность #колхицина для лечения рецидивирующего перикардита доказана в рандомизированных клинических исследованиях [26].
- Рекомендуется продолжать терапию #колхицином у пациентов с рецидивирующим перикардитом не менее 6 месяцев, ориентируясь на клинический ответ [1,26].
ЕОК IIaC (УДД 5 УУР C)
- Не рекомендуется применение глюкокортикоидов в качестве первой линии терапии у пациентов с рецидивирующим перикардитом [1,26,49].
ЕОК IIB (УДД 5 УУР C)
Глюкокортикоиды (ГК) относятся ко второй линии терапии рецидивирующего перикардита и назначаются только при неэффективности НПВП. Доза препарата, зависит от этиологии перикардита, клинического течения и тяжести заболевания. Не целесообразно превышать дозу 0,5 мг/кг массы тела в сутки. Целью проводимого лечения является снижение синтеза провоспалительных цитокинов.
Преимуществом ГК является их высокая эффективность, быстрое купирование симптомов перикардита и отсутствие нежелательных лекарственных взаимодействий. В то же время применение данной терапии может привести к развитию стероид-резистентности и нежелательным побочным эффектам [50].
При рецидивирующем перикарде необходима медленная отмена ГК в соответствии с существующим алгоритмом [50].
- Рекомендуется назначение #анакинра** (ингибиторы интерлейкина) для терапии рецидивирующего перикардита у больных в случае неэффективности препаратов первой и второй линии терапии [7,8,48,51-55].
ЕОК IIвС (УДД 2 УУР В)
Комментарии: интерлейкины ИЛ-1β и ИЛ-1α рассматриваются как основные цитокины в развитии рецидива перикардита, вызывая воспалительную реакцию [7,48,51]. Поэтому применение ингибиторов интерлейкина патогенетически оправдано у больных с рецидивирующим перикардитом в случае неэффективности лечения препаратами первой и второй линии лечения.
Доза #анакинры**, применяемая у детей составляет 1-2 мг/кг в сутки подкожно (но не более 100 мг в сутки) [8,48,51,54,55].
- Рекомендуется исследование уровня C-реактивного белка в сыворотке крови пациентов с рецидивирующим перикардитом в процессе лечения для принятия решения об эффективности терапии [1,26,49].
ЕОК IIaC (УДД 5 УУР C)
- Рекомендуется применение комбинированной иммуносупрессивной терапии с добавлением #Азатиоприна**, #Иммуноглобулина человека нормального** для внутривенного введения или препаратов, блокирующих интерлейкин-1 или селективный блокатор интерлейкиновых (ИЛ-1) рецепторов (АТХ – противоопухолевые препараты, ингибиторы интерлейкина) у пациентов с рецидивирующим перикардитом или отсутствии эффекта на #Колхицин при развитии стероидной зависимости [1,8,26,49,56-59]. Доза #Иммуноглобулина человека нормального для в/в введения** – 2 г/кг на курс. Доза 2 г/кг делится на 5 введений по 0,4 г/кг на каждое введение, иногда может быть введения одномоментно [8,48,57]. Доза #Азатиоприна** для комбинированной терапии перикардита подбирается индивидуально. Стартовая доза 1 мг/кг/сут. с повышением до 2-3 мг/кг/сут [26,48,49].
ЕОК IIbC (УДД 5, УУР C)
3. Лечение постоянного и хронического перикардита
У детей нередко наблюдаются случаи хронизации экссудативного перикардита. Причины подобного явления недостаточно изучены. Для трансформации в хронический процесс имеет значение этиология (например, туберкулезные перикардиты склонны к хронизации), не диагностированное острое или подострое начало заболевания, и, соответственно, отсутствие своевременного лечения, что приводит к выраженному уплотнению листков перикарда, которые становятся малопроницаемы (и тем самым малодоступны) для проникновения лекарственных препаратов в перикардиальную сумку, что еще более затрудняет терапию [8,21,60,62].
Хронический перикардит может протекать с непрерывным медленным нарастанием количества жидкости в перикарде (при этом нужно проводить дифференциальный диагноз с перикардиальным выпотом на фоне опухолевого процесса и аномального дренирования лимфатического протока) или с практически постоянным количеством жидкости, которое лишь незначительно меняется со временем в сторону уменьшения или увеличения. В случае наличия подобного течения необходимо также проводить исследования, направленные на выявление системных заболеваний соединительной ткани [1,60,61].
Для успешного лечения хронического перикардита важно определиться в этиологии заболевания и предпринимать усилия для воздействия на возбудителя или основное заболевание, которое вызвало развитие перикардита.
Хронический перикардит нередко является показанием для хирургического лечения ввиду неэффективности других известных методов лечения. Показанием к хирургическому лечению является сочетание неэффективности применяемых нехирургических методов лечения и потенциальной угрозы тампонады сердца.
4. Лечение перикардиального выпота, тампонады
Несмотря на то, что эффективность лечения перикардиального выпота находится в прямой зависимости от выявления этиологии заболевания, определить причину выпота удается лишь в 50% случаев [1,62-64].
Если выпот не связан с воспалением (то есть перикардиальный выпот имеется, но без признаков перикардита), и его объем нарастает вплоть до появления риска развития тампонады сердца, то необходимо рассмотреть вопрос о проведение перикардиоцентаза. Перикардиоцентез с продленным дренажем до 30 мл/24 ч следует рассмотреть для профилактики дальнейшего накопления выпота при повторном его накоплении.
- Рекомендовано экстренное проведение перикардиоцентеза пациентам в случае развития тампонады сердца [1,20,29-31].
ЕОК IC (УУР C, УДД 5)
Комментарии: последующее клиническое течение аналогично неосложненному перикардиту [1,29].
- Рекомендовано проводить лечение в соответствие с принципами ведения острого перикардита у пациентов при малом или умеренном перикардиальном выпоте, связанном с перикардитом (воспалением) [1,18,20,24,31].
ЕОК IC (УУР C, УДД 5)
- Не рекомендовано назначение перифирических вазодилататоров и диуретиков пациентам с тампонадой сердца [1,6].
ЕОК IIIC (УУР C, УДД 5)
- Не рекомендовано применение механической вентиляции легких с положительным давлением дыхательных путей у пациентов с тампонадой сердца [1,6].
ЕОК IIIC (УДД 5 УУР C)
5. Лечение бактериального перикардита
Наиболее частыми разновидностями бактериального перикардита является гнойный перикардит и перикардит при туберкулезной инфекции [65,66].
Лечение перикардита при туберкулезной инфекции должно проводиться совместно с врачом-фтизиатром, который определяет объем и характер специфической противотуберкулезной терапии [47,67,68].
Гнойный перикардит, возникает в большинстве случаев остро в процессе течения основного заболевания бактериальной этиологии вследствие отсева возбудителя в перикардиальную сумку. Реже причиной гнойных перикардитов является инфицированная рана или травматическое воздействие (в том числе неоптимально имплантированных устройств и конструкций). Гнойный перикардиальный выпот является жизнеугрожающим состоянием, поэтому требует немедленного лечения и активного ведения. В случае своевременно и адекватно начатого лечения гнойный перикардит имеет хороший прогноз в 85% случаев [68].
Парентеральное (внутримышечное или, желательно, внутривенное) введение антибактериальной терапии, подобранной по возбудителю или эмпирически, если возбудитель еще не определен, является предпочтительным методом введения. Гнойный выпот обычно осумковывается и имеет тенденцию к быстрому накоплению, поэтому важно своевременное дренирование во избежание развития тампонады сердца. В качестве хирургического метода лечения используется подмечевидная перикардиостомия и промывание полости перикарда [68].
- Рекомендовано назначение антибактериальных препаратов системного действия пациентам с бактериальным перикардитом [65].
ЕОК нет (УУР C, УДД 4)
6. Лечение констриктивного перикардита
В отсутствии клинических симптомов можно занимать выжидательную позицию, до возникновения симптомов [69,70].
Ранее активно на ранних стадиях заболевания использовались диуретики для уменьшения легочного и системного застоя. Однако их следует использовать с осторожностью, поскольку любое снижение внутрисосудистого объема может вызвать соответствующее снижение сердечного выброса.
Развитие у пациента симптомов констриктивного перикардита (набухшие яремные вены, отеки голеней и стоп, гепатомегалия, асцит, а также сердцебиение, олигоурия и малый сердечный выброс требует оперативного лечения [26]. При этом необходимо иметь в виду, что длительное существование жесткого перикарда на фоне растущего организма ребенка может привести к быстрому развитию тяжелых проявлений сердечной недостаточности. Оперативное лечение в отсроченный период может быть сопряжено с гораздо большими трудностями, особенно если начнет происходить кальцификация констриктивного перикардита (особенно при туберкулезной этиологии).
Консервативная терапия при констриктивном перикардите также используется в случае установленного возбудителя заболевания, что позволяет замедлить дальнейшее прогрессирование констрикции, а также с противовоспалительной, иммуномодулирующей целью и для симптоматического лечения [1,71-73].
2. Хирургическое лечение перикардитов
В большинстве случаев поражение перикарда вторично, а диагностика причины заболевания часто затруднена. Основными показаниями к интервенционным и хирургическим вмешательствам при заболеваниях перикарда являются наличие очень объемного выпота в перикард (нарушающего функцию других органов и систем), тампонада сердца и констриктивный перикардит. Также хирургическое лечение показано при бактериальном перикардите с диагностической целью при выраженном и умеренном выпоте неясной этиологии [1,74].
Хирургическое лечение имеет целью осуществление декомпрессии сердца, дренирования полости перикарда, извлечение сгустков крови и фибрина, а также введение в полость перикарда лекарственных препаратов с целью лечения. Ведущими методами хирургического лечения являются перикардиоцентез, открытое дренирование полости перикарда доступом под мечевидным отростком, а также формирование перикардиального окна в случае постоянного умеренного или выраженного накопления выпота. Также перикардиальное окно может быть сформировано торакоскопически при проведении операции фенестрации перикарда.
Хирургическим методом лечения в случае развития констриктивного перикардита является частичная (над областью желудочков в тех случаях, когда отделение перикарда от миокарда затруднительно и есть угроза травмирования миокарда, например, при выраженно кальцификации при труберкулезном перикардите) или полная перикардэктомия [26,74,75].
- Рекомендовано проведение интервенционных и хирургических вмешательств у пациентов при наличии выраженного выпота в перикард, тампонаде сердца и констриктивном перикардите [1,26].
УДД 5 УУР C
- Рекомендовано проведение интервенционных и хирургических вмешательств пациентам с бактериальным перикардитом и выраженном и умеренном выпоте неясной этиологии с диагностической целью [1,74].
УДД 5 УУР C
- Рекомендовано проведение перикардиоцентеза, формирование перикардиального окна и перикардэктомия пациентам с перикардитом при возникновении необходимости декомпрессии сердца, дренирования и санации полости перикарда [26,76-78].
УДД 4 УУР C
- Рекомендовано проведение перикардэктомии пациентам с констриктивным перикардитом [1].
ЕОК IC (УДД 5 УУР C)
- Рекомендована медленная эвакуация жидкости под контролем артериального давления, ЭКГ и ЭхоКГ у пациентов при дренировании полости перикарда с целью избежать быстрой декомпрессии сердца [1,76].
УДД 4 УУР С
Комментарии: перикардиоцентез должен выполняться опытным врачом, т.к. может сопровождаться осложнениями в 4-10% случаев. Наиболее частое и серьезное осложнение перикардиоцентеза – повреждение и перфорация миокарда. Жизнеугрожающие аритмии, повреждение внутренней грудной артерии, пневмо- и гемотракс, повреждение органов брюшной полости, вагальные реакции и инфекционные осложнения также возможны [1,76].
Выполнять перикардиоцентез без чрескожного дренирования полости перикарда нецелесообразно.
Показание к удалению дренажа – снижение количества отходимой жидкости в сутки до незначительного.
Перикардиоцентез ассоциируется с повышенным риском в случае осумкованного выпота по латеральной или задней поверхности сердца, или если эхонегативное пространство по данным ультразвукового исследования менее 10 мм. В этих случаях открытое хирургическое дренирование полости миокарда может быть безопаснее.
Нередко перикардиоцентез и чрескожное дренирование полости миокарда ассоциируются с высокой частотой рецидива [1,76,78].
- Рекомендовано отдавать предпочтение сразу хирургическому дренированию полости миокарда пациентам при травматическом перикардите и бактериальном перикардите [76,79].
УДД 4 УУР C
- Рекомендована резекция участка перикарда видеоторакоскопическим способом у пациентов для осмотра перикардиальной и плевральной полостей и взятия дополнительного материала для исследования (ткань плевры, легких, лимфоузлов средостения, опухоли) [78,79].
УДД 4 УУР C
При констриктивном и адгезивном перикардитах показаны кардиолиз и перикардэктомия [80,81]. Показания к операции определяются клиническими данными и результатами инструментальных методов диагностики. Важно отметить, что оперативное вмешательство не следует надолго откладывать в случаях, когда на фоне консервативной терапии появляются первые признаки декомпенсации, т.к. в дальнейшем вторичные изменения в органах не будут способны к обратному развитию.
Кардиолиз – хирургическая операция рассечения сращений между перикардиальными листками и между сердцем и окружающими его тканями. Кардиолиз нельзя считать радикальной и излечивающей оперативной процедурой; помимо этого, велика вероятность травмы сердца и образования новых сращений.
- Рекомендовано рассмотреть возможность перикардэктомии у пациентов с хроническим рецидивирующим экссудативным перикардитом в отсутствии эффекта от медикаментозного лечения и перикардиального окна [26].
УДД 5 УУР С
Комментарии: пункция и дренирование перикарда под контролем ультразвукового исследования и взятие биоптатов обычно являются частью хирургических вмеша-тельств, таких как формирование перикардиального окна или перикардэктомия [1].
- Рекомендовано исследование большого числа биоптатов эпикарда и/или перикарда у пациентов в ходе проведения перикардиоскопии [1]. Необходимо брать минимум 7-10 кусочков ткани для исследования.
УДД 5 УУР C
- Рекомендовано выполнение перикардиоскопии пациентам с бактериальным и посттравматическим перикардитом с целью санации полости перикарда под визуальным контролем [80,81].
УДД 4 УУР C
Комментарии: визуализация перикардиальной полости позволяет удалить скопления густого гнойного экссудата в синусах перикарда и выполнить адекватное дренирование [78-80].
Медицинская реабилитация
Медицинская реабилитация и санаторно-курортное лечение, медицинские показания и противопоказания к применению методов медицинской реабилитации, в том числе основанных на использовании природных лечебных факторов
Реабилитационные мероприятия при перикардитах определяются фазой заболевания, базируются на принципах реабилитации детей с сердечной недостаточностью и предусматривают этапность и преемственность. Реабилитация включает медицинский, психологический, социально -экономический аспекты [82,83].
Реабилитация детей с перикардитом предусматривает оценку реабилитационного потенциала ребенка, разработку индивидуального плана реабилитационных мероприятий, определение системы мер, структур, методик, а также прогнозирование ожидаемых положительных результатов на основании реабилитационного диагноза [84-85].
Методы физической реабилитации у больных перикардитом не разработаны.
- Не рекомендуется тяжелая физическая нагрузка пациентам в течение первых 3-6 месяцев периода реконвалесценции [42,43].
УДД 5 УУР C
Комментарии: Ограничений обычной физической нагрузки нет. Допуск к занятиям физкультурой во 2 физкультурной группе возможен через 6 месяцев при полном отсутствии симптомов заболевания, включая маркеры воспаления и выпот в перикарде, а также отсутствии симптомов формирования констриктивного перикардита с последующим переводом в 1 физкультурную группу [42,43].
Спортсмены с перикардитом вне зависимости от этиологии должны быть отстранены от занятий любыми видами спорта во время острой стадии заболевания не менее, чем на 3 месяца. Спортсмены могут возобновить занятия спортом вне острой стадии заболевания, включая отсутствие выпота по данным ЭхоКГ, при условии нормализации маркеров воспаления.
- Не рекомендуется заниматься спортом спортсменам с хроническим констриктивным перикардитом [42,43,82,83].
УУР C, УДД 5
Госпитализация
Организация оказания медицинской помощи
Показания для плановой госпитализации:
Пациенты с факторами высокого риска развития осложнений нуждаются в стационарном лечении.
Такими факторами являются:
- подострое начало, высокая лихорадка и лейкоцитоз,
- подозрение на развитие тампонады сердца или гнойный перикардит,
- большой перикардиальный выпот по данным ЭХОКГ,
- резистентность к терапии НПВП в течение 7 дней,
- иммунокомпрометированные пациенты,
- оральная антикоагулянтная терапия в анамнезе,
- острая травма.
Средняя длительность нахождения в стационаре: 14-21 день и зависит от тяжести состояния.
Показания к выписке пациента с острым перикардитом из стационара
При стойком улучшении клинической картины, отсутствии болевого синдрома, исчезновении лихорадки, нормализации маркеров воспаления СРБ, СОЭ, возвращении сегмента ST на изолинию, нормализации эхокардиографической картины (регресс перикардиального выпота), осуществляется выписка из стационара с дальнейшим наблюдением и лечением на амбулаторном этапе.
Дети с неосложненными острыми перикардитами и небольшим количеством выпота в перикарде могут лечиться и наблюдаться амбулаторно.
Профилактика
Профилактика и диспансерное наблюдение, медицинские показания и противопоказания к применению методов профилактики
Первичной профилактикой перикардита является адекватная профилактика внутриутробных инфекций, плановое обследование беременных, предупреждение энтеровирусных инфекций, внутрибольничных инфекций и инфекций в организованных коллективах, иммунопрофилактика контролируемых инфекций, расширение Национального календаря прививок, неспецифическая и специфическая сезонная профилактика гриппа и ОРВИ, закаливание, иммунореабилитация «часто болеющих» детей и детей групп риска тяжелого течения вирусных инфекций, регулярные профилактические осмотры, санация очаговой инфекции [21].
- Рекомендуется проведение вакцинации детям согласно Национальному календарю профилактических прививок с целью первичной профилактики перикардитов [21].
УРР С, УДД 5
Комментарии: в случае, если пациент получает препараты, блокирующие интерлейкин-1 (ингибиторы интерлейкина) (#Анакинра**, #Кананикумаб**) в ходе вакцинации следует избегать введения живых вакцин [36].
Вторичная профилактика рецидивирующего и констриктивного перикардита заключается в адекватном диспансерном наблюдении и реабилитации реконвалесцентов перикардита, особенно тех из них, кто имеет факторы риска хронизации процесса, детей с латентными и субклиническими формами очаговой инфекции [1,21].
- Рекомендуется постановка на диспансерный учет детей, перенесших острый перикардит, в течение 3-х лет с момента установления диагноза или выписки из стационара, больными хроническим перикардитом – постоянно [21,155].
УРР С, УДД 5
- Рекомендуется прием (осмотр, консультация) врача-детского кардиолога первичный и прием (осмотр, консультация) врача-педиатра первичный для детей, перенесших острый перикардит, в течение 3-х лет с момента установления диагноза или выписки из стационара, больными хроническим перикардитом – постоянно [1,21].
УРР С, УДД 5
Комментарии: на первом году наблюдения после выписки из стационара первые 3 месяца дети осматриваются ежемесячно, затем 1 раз в квартал, при необходимости чаще.
На каждом приеме контролируют самочувствие, общее состояние больного, проводится объективный осмотр, общий (клинический) анализ крови, ЭКГ у всех пациентов с перикардитом 1 раз в 3-6 мес. ЭХОКГ показано 2 раза в год с проведением первого исследования в течение первых 12 недель после выписки из стационара. В течение первых 12 недель также необходимо исследование уровня С-реактивного белка в сыворотке. Высокий уровень СРБ должен рассматриваться как предвестник рецидива острого перикардита, кроме того, это важный показатель, требующий поиска, возможно не выясненного до этого, основного заболевания. Прием (осмотр, консультация) врача-оториноларинголога первичный и прием (осмотр, консультация) врача-стоматолога первичный 1 раз в год.
На втором году диспансерного наблюдения 1 раз в 6 мес. проводятся прием (осмотр, консультация) врача-педиатра первичный и прием (осмотр, консультация) врача детского кардиолога первичный. Проведение общего (клинического) анализа крови, ЭКГ, ЭхоКГ 1 раз в год, при необходимости чаще. Прием (осмотр, консультация) врача-оториноларинголога первичный и прием (осмотр, консультация) врача стоматолога 1 раз в год.
На третьем году диспансерного наблюдения 1 раз в год проводится прием (осмотр, консультация) осмотр врача-педиатра первичный и прием (осмотр, консультация) врача детского кардиолога первичный. Проведение общего (клинического) анализа крови, ЭКГ, ЭхоКГ 1 раз в год. Прием (осмотр, консультация врача-оториноларинголога первичный и прием (осмотр, консультация) врача-стоматологам 1 раз в год [18,21].
- Рекомендуется выполнить клинико-функциональное обследование всем пациентам, перенесшим перикардит, перед снятием с диспансерного наблюдения [21,86,87].
УРР С, УДД 5
Комментарии: все показатели которого должны быть в пределах нормы (общие клинические анализы крови и мочи, ЭКГ в покое, Эхо-КГ с изучением состояния перикарда, морфометрических показателей, насосной и сократительной функции миокарда)
Комментарии: дополнительные обследования такие как, мониторирование электрокардиографических данных, иммунобиохимические маркеры миокардиального повреждения, титры антимиокардиальных антител и др., проводятся с учетом этиологии перикардита и по показаниям [42,43].
После перенесенного острого перикардита в течение первого года дети наблюдаются в 4-й группе здоровья, затем переводятся в 3-ю группу здоровья. Перевод во 2-ю группу решается в зависимости от данных обследования. При хроническом течении перикардита вопрос решается индивидуально в зависимости от клинико-функциональных и лабораторных показателей (3-я или 4-я группа здоровья) [21].
Прогноз пациентов с перикардитом благоприятный, риск развития сердечной недостаточности и смерти в данной категории пациентов по данным ряда проспективных исследований не увеличен [86,87].
Прогноз зависит от этиологии, сроков установления диагноза, времени и объема терапии, ответа на терапию, сопутствующая патология.
Отсутствие ответа на терапию НПВП при остром перикардите в течение 7 дней связано с относительно плохим течением заболевания и является независимым фактором риска рецидива [10,88].
Прививки противопоказаны в течение первого года после перенесенного острого или идиопатического перикардита, за исключением острых эпидемиологических показаний, при хроническом – вопрос рассматривается индивидуально. Целесообразно проведение вакцинации в щадящем режиме при условии стабилизации состояния и положительной динамике не ранее, чем через 1 год после дебюта заболевания. При аутоиммунных перикардитах на фоне системных заболеваний соединительной ткани вакцинация не проводится [21].
Информация
Источники и литература
-
Клинические рекомендации Ассоциации детских кардиологов России
- Клинические рекомендации Ассоциации детских кардиологов России - 1. Adler Y, Charron P, Imazio M, Badano L, Barón-Esquivias G, Bogaert J, Brucato A, Gueret P, Klingel K, Lionis C, Maisch B, Mayosi B, Pavie A, Ristic AD, Sabaté Tenas M, Seferovic P, Swedberg K, Tomkowski W; ESC Scientific Document Group. 2015 ESC Guidelines for the diagnosis and management of pericardial diseases: The Task Force for the Diagnosis and Management of Pericardial Diseases of the European Society of Cardiology (ESC)Endorsed by: The European Association for Cardio-Thoracic Surgery (EACTS). Eur Heart J. 2015 Nov 7;36(42):2921-2964. doi: 10.1093/eurheartj/ehv318. Epub 2015 Aug 29. PMID: 26320112; PMCID: PMC7539677. 2. Chang SA. Tuberculous and Infectious Pericarditis. Cardiol Clin. 2017 Nov;35(4):615-622. doi: 10.1016/j.ccl.2017.07.013. PMID: 29025551. 3. Brucato A, Imazio M, Cremer PC, Adler Y, Maisch B, Lazaros G, Gattorno M, Caforio ALP, Marcolongo R, Emmi G, Martini A, Klein AL. Recurrent pericarditis: still idiopathic? The pros and cons of a well-honoured term. Intern Emerg Med. 2018 Sep;13(6):839-844. doi: 10.1007/s11739-018-1907-x. Epub 2018 Jul 18. PMID: 30022399. 4. Shahid R, Jin J, Hope K, Tunuguntla H, Amdani S. Pediatric Pericarditis: Update. Curr Cardiol Rep. 2023 Mar;25(3):157-170. doi: 10.1007/s11886-023-01839-0. Epub 2023 Feb 7. PMID: 36749541; PMCID: PMC9903287. 5. Lopalco G, Rigante D, Cantarini L, Imazio M, Lopalco A, Emmi G, Venerito V, Fornaro M, Frediani B, Nivuori M, Brucato A, Iannone F. The autoinflammatory side of recurrent pericarditis: Enlightening the pathogenesis for a more rational treatment. Trends Cardiovasc Med. 2021 Jul;31(5):265-274. doi: 10.1016/j.tcm.2020.04.006. Epub 2020 May 3. PMID: 32376492. 6. Xu B, Harb SC, Cremer PC. New Insights into Pericarditis: Mechanisms of Injury and Therapeutic Targets. Curr Cardiol Rep. 2017 Jul;19(7):60. doi: 10.1007/s11886-017-0866-6. PMID: 28528454. 7. Klein AL, Imazio M, Brucato A, Cremer P, LeWinter M, Abbate A, Lin D, Martini A, Beutler A, Chang S, Fang F, Gervais A, Perrin R, Paolini JF. RHAPSODY: Rationale for and design of a pivotal Phase 3 trial to assess efficacy and safety of rilonacept, an interleukin-1α and interleukin-1β trap, in patients with recurrent pericarditis. Am Heart J. 2020 Oct; 228:81-90. doi: 10.1016/j.ahj.2020.07.004. Epub 2020 Jul 14. PMID: 32866928. 8. Schwier NC, Tsui J, Perrine JA, Guidry CM, Mathew J. Current pharmacotherapy management of children and adults with pericarditis: Prospectus for improved outcomes. Pharmacotherapy. 2021 Dec;41(12):1041-1055. doi: 10.1002/phar.2640. Epub 2021 Dec 6. PMID: 34669979. 9. Søgaard KK, Farkas DK, Ehrenstein V, Bhaskaran K, Bøtker HE, Sørensen HT. Pericarditis as a Marker of Occult Cancer and a Prognostic Factor for Cancer Mortality. Circulation. 2017 Sep 12;136(11):996-1006. doi: 10.1161/CIRCULATIONAHA.116.024041. Epub 2017 Jun 29. PMID: 28663234; PMCID: PMC5657468. 10. Imazio M, Cecchi E, Demichelis B, Chinaglia A, Ierna S, Demarie D, Ghisio A, Pomari F, Belli R, Trinchero R. Myopericarditis versus viral or idiopathic acute pericarditis. Heart. 2008 Apr;94(4):498-501. doi: 10.1136/hrt.2006.104067. Epub 2007 Jun 17. PMID: 17575329. 11. Ratnapalan S, Brown K, Benson L. Children presenting with acute pericarditis to the emergency department. Pediatr Emerg Care. 2011 Jul;27(7):581-5. doi: 10.1097/PEC.0b013e31822251ba. PMID: 21712753. 12. Geggel RL. Conditions leading to pediatric cardiology consultation in a tertiary academic hospital. Pediatrics. 2004 Oct;114(4): e409-17. doi: 10.1542/peds.2003-0898-L. PMID: 15466065. 13. Alsabri M, Elshanbary AA, Nourelden AZ, Fathallah AH, Zaazouee MS, Pincay J, Nakadar Z, Wasem M, Aeder L. Chest pain in pediatric patients in the emergency department- Presentation, risk factors and outcomes-A systematic review and meta-analysis. PLoS One. 2024 Apr 16;19(4): e0294461. doi: 10.1371/journal.pone.0294461. PMID: 38626180; PMCID: PMC11020527. 14. Imazio M, Bobbio M, Cecchi E, Demarie D, Demichelis B, Pomari F, Moratti M, Gaschino G, Giammaria M, Ghisio A, Belli R, Trinchero R. Colchicine in addition to conventional therapy for acute pericarditis: results of the COlchicine for acute PEricarditis (COPE) trial. Circulation. 2005 Sep 27;112(13):2012-6. doi: 10.1161/CIRCULATIONAHA.105.542738. PMID: 16186437. 15. Imazio M, Demichelis B, Parrini I, Cecchi E, Demarie D, Ghisio A, Belli R, Bobbio M, Trinchero R. Management, risk factors, and outcomes in recurrent pericarditis. Am J Cardiol. 2005 Sep 1;96(5):736-9. doi: 10.1016/j.amjcard.2005.04.055. PMID: 16125506. 16. Bizzi E, Trotta L, Pancrazi M, Nivuori M, Giosia V, Matteucci L, Montori D, Brucato A. Autoimmune and Autoinflammatory Pericarditis: Definitions and New Treatments. Curr Cardiol Rep. 2021 Jul 28;23(9):128. doi: 10.1007/s11886-021-01549-5. PMID: 34319478. 17. Miranda WR, Oh JK. Constrictive Pericarditis: A Practical Clinical Approach // Prog Cardiovasc Dis. 2017 Jan-Feb;59(4):369-379. doi: 10.1016/j.pcad.2016.12.008. 18. Арутюнов Г.П., Палеев Ф.Н., Тарловская Е.И., Моисеева О.М., Арутюнов А.Г., Козиолова Н.А., Чесникова А.И., Ребров А.П., Шапошник И.И., Петрова М.М., Григорьева Н.Ю., Фомин И.В., Орлова Я.А., Мальчикова С.В., Королева Л.Ю., Носов В.П., Айвазян С.А., Зайратьянц О.В., Синицын В.Е., Васюк Ю.А., Гендлин Г.Е., Драгунов Д.О., Соколова А.В., Иртюга О.Б. Перикардиты. Клинические рекомендации 2022. Российский кардиологический журнал. 2023;28(3):5398. https://doi.org/10.15829/1560-4071-2023-5398 19. Imazio M, Pedrotti P, Quattrocchi G, Roghi A, Badano L, Faletti R, Bogaert J, Gaita F. Multimodality imaging of pericardial diseases. J Cardiovasc Med (Hagerstown). 2016 Nov;17(11):774-82. doi: 10.2459/JCM.0000000000000427. PMID: 27606786. 20. Imazio M, Gaita F, LeWinter M. Evaluation and Treatment of Pericarditis: A Systematic Review. JAMA. 2015 Oct 13;314(14):1498-506. doi: 10.1001/jama.2015.12763. Erratum in: JAMA. 2015 Nov 10;314(18):1978. doi: 10.1001/jama.2015.14847. Erratum in: JAMA. 2016 Jan 5;315(1):90. doi: 10.1001/jama.2015.16998. Dosage error in article text. PMID: 26461998. 21. Федеральные клинические рекомендации по оказанию медицинской помощи детям с перикардитами, 2014. Главный внештатный специалист педиатр Минздрава России Академик РАН А.А. Баранов. 22. Welch TD. Constrictive pericarditis: diagnosis, management and clinical outcomes. Heart. 2018 May;104(9):725-731. doi: 10.1136/heartjnl-2017-311683. Epub 2017 Nov 25. PMID: 29175978. 23. Syed FF, Schaff HV, Oh JK. Constrictive pericarditis--a curable diastolic heart failure. Nat Rev Cardiol. 2014 Sep;11(9):530-44. doi: 10.1038/nrcardio.2014.100. Epub 2014 Jul 29. Erratum in: Nat Rev Cardiol. 2015 Dec;12(12):682. doi: 10.1038/nrcardio.2015.162. PMID: 25072910. 24. Stolz L, Valenzuela J, Situ-LaCasse E, Stolz U, Hawbaker N, Thompson M, Adhikari S. Clinical and historical features of emergency department patients with pericardial effusions. World J Emerg Med. 2017;8(1):29-33. doi: 10.5847/wjem.j.1920-8642.2017.01.005. PMID: 28123617; PMCID: PMC5263032. 25. Imazio M, Brucato A, Barbieri A, Ferroni F, Maestroni S, Ligabue G, Chinaglia A, Cumetti D, Della Casa G, Bonomi F, Mantovani F, Di Corato P, Lugli R, Faletti R, Leuzzi S, Bonamini R, Modena MG, Belli R. Good prognosis for pericarditis with and without myocardial involvement: results from a multicenter, prospective cohort study. Circulation. 2013 Jul 2;128(1):42-9. doi: 10.1161/CIRCULATIONAHA.113.001531. Epub 2013 May 24. PMID: 23709669. 26. Chiabrando JG, Bonaventura A, Vecchié A, Wohlford GF, Mauro AG, Jordan JH, Grizzard JD, Montecucco F, Berrocal DH, Brucato A, Imazio M, Abbate A. Management of Acute and Recurrent Pericarditis: JACC State-of-the-Art Review. J Am Coll Cardiol. 2020 Jan 7;75(1):76-92. doi: 10.1016/j.jacc.2019.11.021. 31918837. 27. Hariri S., Wray A. Clinical Evaluation and Management of Pediatric Pericarditis. JETem 2018. 3(4): V22-24. https://doi.org/10.21980/J8HP85. 28. Leitman M, Bachner-Hinenzon N, Adam D, Fuchs T, Theodorovich N, Peleg E, Krakover R, Moravsky G, Uriel N, Vered Z. Speckle tracking imaging in acute inflammatory pericardial diseases. Echocardiography. 2011 May;28(5):548-55. doi: 10.1111/j.1540-8175.2010.01371.x. Epub 2011 May 4. PMID: 21539601. 29. Cremer PC, Kumar A, Kontzias A, Tan CD, Rodriguez ER, Imazio M, Klein AL. Complicated Pericarditis: Understanding Risk Factors and Pathophysiology to Inform Imaging and Treatment. J Am Coll Cardiol. 2016 Nov 29;68(21):2311-2328. doi: 10.1016/j.jacc.2016.07.785. PMID: 27884251. 30. Pérez-Casares A, Cesar S, Brunet-Garcia L, Sanchez-de-Toledo J. Echocardiographic Evaluation of Pericardial Effusion and Cardiac Tamponade. Front Pediatr. 2017 Apr 24; 5:79. doi: 10.3389/fped.2017.00079. PMID: 28484689; PMCID: PMC5401877. 31. Dybowska M, Szturmowicz M, Błasińska K, Gątarek J, Augustynowicz-Kopeć E, Langfort R, Kuca P, Tomkowski W. Large Pericardial Effusion-Diagnostic and Therapeutic Options, with a Special Attention to the Role of Prolonged Pericardial Fluid Drainage. Diagnostics (Basel). 2022 Jun 13;12(6):1453. doi: 10.3390/diagnostics12061453. PMID: 35741263; PMCID: PMC9221585. 32. Young PM, Glockner JF, Williamson EE, Morris MF, Araoz PA, Julsrud PR, Schaff HV, Edwards WD, Oh JK, Breen JF. MR imaging findings in 76 consecutive surgically proven cases of pericardial disease with CT and pathologic correlation. Int J Cardiovasc Imaging. 2012 Jun;28(5):1099-109. doi: 10.1007/s10554-011-9916-0. Epub 2011 Jul 7. PMID: 21735292. 33. Aldweib N, Farah V, Biederman RWW. Clinical Utility of Cardiac Magnetic Resonance Imaging in Pericardial Diseases. Curr Cardiol Rev. 2018;14(3):200-212. doi: 10.2174/1573403X14666180619104515. PMID: 29921208; PMCID: PMC6131401. 34. Lazea C (2018) Emergency Pericardiocentesis in Children. Bedside Procedures. InTech. Available at: http://dx.doi.org/10.5772/intechopen.70700. 35. Gatti G, Fiore A, Ternacle J, Porcari A, Fiorica I, Poletti A, Ecarnot F, Bussani R, Pappalardo A, Chocron S, Folliguet T, Perrotti A. Pericardiectomy for constrictive pericarditis: a risk factor analysis for early and late failure. Heart Vessels. 2020 Jan;35(1):92-103. doi: 10.1007/s00380-019-01464-4. Epub 2019 Jun 24. PMID: 31236676. 36. Schwier NC, Stephens K, Johnson PN. Management of Idiopathic Viral Pericarditis in the Pediatric Population. J Pediatr Pharmacol Ther. 2022;27(7):595-608. doi: 10.5863/1551-6776-27.7.595. Epub 2022 Sep 26. PMID: 36186249; PMCID: PMC9514766. 37. Кантемирова М.Г., Коровина О.А., Новикова Ю.Ю., Киселева И.Н., Шокин А.А., Бузина Н.В., Абрамян М.А., Ляпунова Т.В., Лапшин А.А., Овсянников Д.Ю., Колтунов И.Е. Инфекционные и неинфекционные перикардиты у детей // Педиатрия. Журнал им. Г.Н. Сперанского. 2017. Т. 96. № 4. С. 77-90. 38. Кантемирова М.Г., Коровина О.А., Артамонова В.А., Шокин А.А., Манухина Н.В., Вальдерама И.Э., Бузина Н.В., Овсянников Д.Ю. Современная структура заболеваний перикарда и клинико-инструментальная характеристика перикардитов у детей // Педиатрия. Журнал им. Г.Н. Сперанского. 2013. Т. 92. № 5. С. 17-23. 39. Klein BM, Dugan ES, LaCombe AD, Ruthmann NP, Roselli EE, Klein AL, Emery MS. Complex Management Decisions in a Professional Athlete With Recurrent Pericarditis. JACC Case Rep. 2022 Sep 7;4(17):1090-1093. doi: 10.1016/j.jaccas.2022.05.015. PMID: 36124145; PMCID: PMC9481902. 40. Grant JK, Shah NP. The Impact of Physical Activity on Pericarditis. Curr Cardiol Rep. 2021 Aug 27;23(10):150. doi: 10.1007/s11886-021-01578-0. PMID: 34448954; PMCID: PMC8390544. 41. Pelliccia A, Solberg EE, Papadakis M, Adami PE, Biffi A, Caselli S, La Gerche A, Niebauer J, Pressler A, Schmied CM, Serratosa L, Halle M, Van Buuren F, Borjesson M, Carrè F, Panhuyzen-Goedkoop NM, Heidbuchel H, Olivotto I, Corrado D, Sinagra G, Sharma S. Recommendations for participation in competitive and leisure time sport in athletes with cardiomyopathies, myocarditis, and pericarditis: position statement of the Sport Cardiology Section of the European Association of Preventive Cardiology (EAPC). Eur Heart J. 2019 Jan 1;40(1):19-33. doi: 10.1093/eurheartj/ehy730. PMID: 30561613. 42. Национальные рекомендации по допуску спортсменов с отклонениями со стороны сердечно-сосудистой системы к тренировочно-соревновательному процессу // РФК. 2011. №6(S). URL: https://cyberleninka.ru/article/n/natsionalnye-rekomendatsii-po-dopusku-sportsmenov-s-otkloneniyami-so-storony-serdechno-sosudistoy-sistemy-k-trenirovochno (дата обращения: 10.08.2024). 43. Шарыкин А.С., Бадтиева В.А., Павлов В.И. Спортивная кардиология. Руководство для кардиологов, педиатров, врачей функциональной диагностики и спортивной медицины, тренеров. М.:Издательство ИКАР, 2017,-328 с. С илл., цв.вкл. 44. Schwier N, Tran N. Non-Steroidal Anti-Inflammatory Drugs and Aspirin Therapy for the Treatment of Acute and Recurrent Idiopathic Pericarditis. Pharmaceuticals (Basel). 2016 Mar 23;9(2):17. doi: 10.3390/ph9020017. PMID: 27023565; PMCID: PMC4932535. 45. Reveiz L, Guerrero-Lozano R, Camacho A, Yara L, Mosquera PA. Stress ulcer, gastritis, and gastrointestinal bleeding prophylaxis in critically ill pediatric patients: a systematic review. Pediatr Crit Care Med. 2010 Jan;11(1):124-32. doi: 10.1097/PCC.0b013e3181b80e70. PMID: 19770788. 46. Schwier NC, Cornelio CK, Epperson TM. Managing acute and recurrent idiopathic pericarditis. JAAPA. 2020 Jan;33(1):16-22. doi: 10.1097/01.JAA.0000615468.46936.6d. PMID: 31880644. 47. Schwier NC. Pharmacotherapeutic considerations for using colchicine to treat idiopathic pericarditis in the USA. Am J Cardiovasc Drugs. 2015 Oct;15(5):295-306. doi: 10.1007/s40256-015-0133-4. PMID: 26243656. 48. Tombetti E, Giani T, Brucato A, Cimaz R. Recurrent Pericarditis in Children and Adolescents. Front Pediatr. 2019 Oct 18;7:419. doi: 10.3389/fped.2019.00419. PMID: 31681717; PMCID: PMC6813188. 49. Imazio M, Lazaros G, Brucato A, Gaita F. Recurrent pericarditis: new and emerging therapeutic options. Nat Rev Cardiol. 2016 Feb;13(2):99-105. doi: 10.1038/nrcardio.2015.115. Epub 2015 Aug 11. PMID: 26259934. 50. Imazio M, Brucato A, Cumetti D, Brambilla G, Demichelis B, Ferro S, Maestroni S, Cecchi E, Belli R, Palmieri G, Trinchero R. Corticosteroids for recurrent pericarditis: high versus low doses: a nonrandomized observation. Circulation. 2008 Aug 5;118(6):667-71. doi: 10.1161/CIRCULATIONAHA.107.761064. Epub 2008 Jul 21. PMID: 18645054. 51. Brucato A, Imazio M, Gattorno M, Lazaros G, Maestroni S, Carraro M, Finetti M, Cumetti D, Carobbio A, Ruperto N, Marcolongo R, Lorini M, Rimini A, Valenti A, Erre GL, Sormani MP, Belli R, Gaita F, Martini A. Effect of Anakinra on Recurrent Pericarditis Among Patients With Colchicine Resistance and Corticosteroid Dependence: The AIRTRIP Randomized Clinical Trial. JAMA. 2016 Nov 8;316(18):1906-1912. doi: 10.1001/jama.2016.15826. PMID: 27825009. 52. Imazio M, Brucato A, Pluymaekers N, Breda L, Calabri G, Cantarini L, Cimaz R, Colimodio F, Corona F, Cumetti D, Cuccio CD, Gattorno M, Insalaco A, Limongelli G, Russo MG, Valenti A, Finkelstein Y, Martini A. Recurrent pericarditis in children and adolescents: a multicentre cohort study. J Cardiovasc Med (Hagerstown). 2016 Sep;17(9):707-12. doi: 10.2459/JCM.0000000000000300. PMID: 27467459. 53. Picco P, Brisca G, Traverso F, Loy A, Gattorno M, Martini A. Successful treatment of idiopathic recurrent pericarditis in children with interleukin-1beta receptor antagonist (anakinra): an unrecognized autoinflammatory disease? Arthritis Rheum. 2009 Jan;60(1):264-8. doi: 10.1002/art.24174. PMID: 19116906. 54. Finetti M, Insalaco A, Cantarini L, Meini A, Breda L, Alessio M, et al. Long-term efficacy of interleukin-1 receptor antagonist (anakinra) in corticosteroid-dependent and colchicine-resistant recurrent pericarditis. J Pediatr. (2014) 164:1425–1431.e1. 10.1016/j.jpeds.2014.01.065. 55. Rodriguez-Gonzalez M, Ruiz-Gonzalez E, Castellano-Martinez A. Anakinra as rescue therapy for steroid-dependent idiopathic recurrent pericarditis in children: case report and literature review. Cardiol Young. 2019 Feb;29(2):241-243. doi: 10.1017/S1047951118002020. Epub 2018 Dec 4. PMID: 30511600.
Информация
Список сокращений
АД – артериальное давление
АСК** – ацетилсалициловая кислота**
АСЛО – антистрептолизин-О
ВИЧ – вирус иммунодефицита человека
ВПС – врожденный порок сердца
ВСС – внезапная сердечная смерть
ГК – глюкокортикоиды
ДБСТ – диффузные болезни соединительной ткани
ИЛ-1 – интерлейкин-1
ИТР – идиопатический рецидивирующий перикардит
КТ – компьютерная томография
КТИ – кардиоторакальный индекс
КФК – креатинфосфокиназа
ЛЖ – левый желудочек сердца
МЖП – межжелудочковая перегородка
МКФ – Международная классификация функционирования
МРК – многопрофильная реабилитационная команда
МРТ – магнитно-резонансная томография
НПВП – нестероидные противовоспалительные и противоревматические препараты
ПН – почечная недостаточность
ППТС – посткардиотимический синдром
ПЦР – полимеразная цепная реакция
РП – рецидивирующий перикардит
САД – систолическое артериальное давление
СКВ – системная красная волчанка
СН – сердечная недостаточность
СОЭ – скорость оседания эритроцитов
СППС – синдромы после повреждения сердца
СРБ – С-реактивный белок
ТТГ – тиреотропный гормон
ФВ – фракция выброса
ФК – функциональный класс
ФН – физическая нагрузка
ХСН – хроническая сердечная недостаточность
ЦВД – центральное венозное давление
ЧКВ – чрескожные коронарные вмешательства
ЭКГ – электрокардиограмма (регистрация электрокардиограммы)
ЭхоКГ – эхокардиография
** – препарат включен в перечень жизненно необходимых и важнейших лекарственных препаратов
# – при использовании препарата возможны отклонения от официальной инструкции по его применению
Термины и определения
Перикардит острый – клинический синдром, характеризующийся воспалением перикарда с сопутствующим перикардиальным выпотом или без него.
Перикардит постоянный – это перикардит с непрерывным течением после острого эпизода без достижения ремиссии.
Перикардит хронический – это наличие перикардиального выпота, который продолжается более 3 месяцев.
Перикардит рецидивирующий – это состояние, при котором после документально подтвержденного первого эпизода острого перикардита, отмечается бессимптомный период продолжительностью 4-6 недель или более с последующим появлением признаков рецидива перикардита.
Перикард – это замкнутая щелевидная полость, окружающая сердце и содержащая около 10-50 мл серозной жидкости.
Констриктивный перикардит – это заболевание, характеризующееся утолщением и сращением листков перикарда (в 50% случаев их кальцификацией), приводящим к сдавлению камер сердца и ограничению их диастолического наполнения.
Выпот в полость перикарда – воспаление перикарда, сопровождающееся накоплением выпота в перикардиальном пространстве.
Тампонада сердца – это жизнеугрожающее состояние, характеризующееся быстро нарастающим и постепенным сдавлением сердца за счет накопления вокруг него жидкости, крови, гноя, тромботических масс, газа в результате воспаления, травмы, разрыва сердца или диссекции аорты.
Гидроперикард – это избыточное скопление транссудата в полости перикарда.
Хилоперикард – это избыточное скопление хилезного выпота в полости перикарда
Перикардиоцентез – это лечебная и диагностическая процедура, предполагающая пункционный прокол грудной стенки и перикарда для удаления жидкости, крови, гноя, лимфа, транссудата), в ряде случаев с последующим дренированием полости перикарда.
Перикардэктомия – это хирургическая операция иссечения листков перикарда.
Дополнительная информация (в том числе факторы, влияющие на исход заболевания или состояния)
Синдромы после поражения сердца
Термин «синдромы после поражения сердца» (СППС) используется для обозначения перикардиальных синдромов, возникающих после каких-либо повреждений оболочек сердечной мышцы, включающих в себя постинфарктный перикардит, посткардиотомический синдром (ППТС) и посттравматический перикардит [1,18,88,89,90].
1. Посткардиотомный (посткардиотомический, постперикардиотомный) синдром
Посткардиотомный синдром – это состояние, после открытого кардиохирургического вмешательства, которое носит воспалительный характер. Патогенез связан с аутоиммунными процессами, возникающими вследствие повреждения (некроза) миокарда, после хирургических вмешательств, либо травмы грудной клетки [89,90,91].
ППТС характеризуется признаками системного воспаления, лихорадкой и полисерозитом. Аутоиммунную этиологию подтверждает факт наличия латентного периода (между заболеванием сердца и развитием перикардита проходит несколько недель), эффективность терапии противовоспалительными препаратами и возможность возврата симптомов [88]. Не исключается вклад интраоперационной инфекции в развитии посткардиотомического синдрома [92].
Посткардиотомический синдром, по данным разных авторов, встречается у 8,9-40% пациентов, перенесших открытую операцию на сердце [85,89,92-96]. ППТС манифестирует в среднем через 3-4 недели после открытой операции на сердце и длится в среднем 3 недели (2-100 дней) [93,94]. Рецидив данного синдрома встречается у 4-38% пациентов, перенесших этот синдром ранее. У некоторых пациентов рецидив может происходить в периоде до 30 месяцев после первичной манифестации, что зачастую является показанием к выполнению операции перикардэктомии [94,95].
Критериями диагностики являются:
-
Лихорадка неясного генеза;
-
Болевой симптом перикардиального или плеврального генеза (боли в груди, возникающие на высоте вдоха, либо при перемене положения тела);
-
Симптом трения перикарда и/или плевры (аускультация шумов);
-
Симптом перикардиального выпота и/или плеврального выпота с повышенным СРБ.
Для постановки диагноза необходимы как минимум два вышеперечисленных симптома [48].
Очень часто сложно дифференцировать ППТС от обычных последствий хирургического вмешательства таких как экссудативный перикардит и плеврит. Для постановки диагноза должны присутствовать доказательства воспалительной активности (повышению уровня СРБ) [25].
Клиническая картина характеризуется повышением температуры до субфебрильных или фебрильных цифр, которая сопровождается слабостью и повышенной утомляемостью. Болевой симптом проявляется наличием болей в области сердца без связи с физической нагрузкой, которые могут менять свою интенсивность при изменении положения тела и надавливании на область сердца. Для болей в грудной клетке плеврального генеза характерна связь с актом дыхания. Наличие выраженного перикардиального и/или плеврального выпота может привести к развитию сердечной и/или дыхательной недостаточности (жалобы на одышку при физической нагрузке или в покое, отеки нижних конечностей, учащенное сердцебиение. Основным симптомом дыхательной недостаточности является одышка [1,87].
В 10% случаев возникают значительные выпоты, которые могут привести к тампонаде сердца [96]. Хотя данное осложнение может наблюдаться в течение 1 месяца после операции, чаще оно возникает в первые сутки после вмешательства и связано, как правило, с кровоизлиянием в полость перикарда. Возникновение тампонады сердца вследствие послеоперационного гемоперикарда требует экстренного повторного хирургического вмешательства. Следует отметить, что любое кардиохирургическое вмешательство, даже малоинвазивное (ЧКВ, имплантация кардиостимулятора, радиочастотная аблация и др.) могут сопровождаться развитием гемоперикарда и тампонады сердца вследствие перфорации сосуда или полостей сердца [97].
Диагностика основывается на данных анамнеза, физикального обследования, результатов лабораторного и инструментального обследований.
При подозрении на наличие посткардиотомического синдрома следует выяснить характер и время перенесенной операции, оценить данные инструментальных методов исследования (ЭХОКГ, прицельная рентгенография органов грудной клетки, компьютерная томография сердца с контрастированием) до и непосредственно после оперативного вмешательства. Уточнить какую противовоспалительную терапию пациент принимал/принимает пациент. [1,18,51].
Клиническая картина посткардиотомического синдрома обусловлена наличием у пациента проявлений перикардита и/или плеврита (экссудативный, констриктивный перикардит, реже тампонада сердца) в комбинации с системной воспалительной реакцией [1,18,51].
Патогномоничные симптомы: шум трения перикарда и/или плевры, приглушенность сердечных тонов, ослабление дыхания при аускультации, венозный пульс на яремных венах (при наличии экссудативного перикардита) и тампонада сердца. Отеки нижних конечностей и увеличение печени – как проявление сердечной недостаточности. Ослабление пульса и тахикардия вследствие экссудативного перикардита.
С целью выявления воспалительного процесса целесообразно всем пациентам провести исследование уровня C-реактивного белка в сыворотке крови [1,18].
Всем пациентам необходимо провести эхокардиографическое исследование для выявления жидкости в полости перикарда и/или плевральных полостях, утолщения листков перикарда и/или плевры, наличия коллабирования камер сердца [1,18].
С целью выявления наличия жидкости в полости перикарда и/или плевральных полостях, утолщения листков перикарда и/или плевры, наличия инфильтративных изменений в легких показано проведение рентгенографии сердца и перикарда, и легких всем пациентам [98,99]. Необходимо учитывать, что наличие жидкости в полости перикарда в количестве менее 300 мл не ведет к увеличению КТИ [1,18].
Для диагностики патологических изменений электрической проводимости необходима регистрация ЭКГ [99]. При острой фазе посткардиотомического синдрома отмечаются изменения на ЭКГ характерные для острого перикардита (распространенная депрессия сегмента PR или элевация сегмента ST в нескольких отведениях (отражает вовлечении в процесс эпикарда). При возникновении тампонады на ЭКГ изменения характеризуются – низкой амплитудой комплекса QRS, уплощенные или отрицательные зубцы T [98,99].
С целью диагностики патологических изменения в сердце и легких у пациентов с подозрением на посткардиотомический синдром обосновано выполнение компьютерной томографии сердца с контрастированием и магнитно-резонансной томографии сердца с контрастированием [99,100]. КТ и МРТ обладают большей областью визуализации чем ЭхоКГ, позволяют выявить наличие выпота в полости перикарда и плевральных полостях, оценить объем и локализацию выпота, а также утолщение перикарда и листков плевры.
Лечение посткардиотомического синдрома
Всем пациентам с посткардиотомическим синдромом необходимо соблюдать охранительный режим, который подразумевает под собой малоподвижный образ жизни с момента первых клинических проявлений на срок от трех месяцев до регресса симптоматики и нормализации лабораторных и инструментальных показателей (снижение уровня СРБ в анализах крови до нормы, отсутствие элевации сегмента ST и депрессии сегмента PR, и отсутствие значительного выпота в полости перикарда, плевральных полостях по данным ЭхоКГ [1,18].
Консервативное лечение посткардиотомического синдрома
Медикаментозное лечение основывается на противовоспалительной терапии, которая способствует исчезновению симптомов и достижению ремиссии, снижает частоту рецидивов [1,96]. Всем пациентам назначаются НПВП в сочетании с гастропротекторами (ингибиторы протонной помпы) [1]. С целью оценки эффективности и продолжительности медикаментозной терапии проводится контроль исследования уровня С-реактивного белка в сыворотке крови [1].
Глюкокортикоиды не являются препаратами первой линии у детей с посткардиотомическим синдромом [101].
Назначение глюкокортикоидов пациентам с посткардиотомическим синдромом возможно только в случае неэффективности НПВП при отсутствии противопоказаний, т.к. их применение может вызвать хронизацию процесса и синдром отмены. Глюкокортикоиды целесообразно назначать в следующей дозировке: #преднизолон** 0,2-0,5 мг/кг/сутки или эквивалент. Дозировка должна сохраняться до исчезновения симптомов и нормализации СРБ.
В мета-анализе 2019 года было установлено, что периоперационный прием #колхицина ассоциировался со значимым снижением риска развития ППТС [102].
2. Травматический перикардиальный выпот.
Приблизительно в 20-30% случаев после обширной травмы грудной клетки, особенно её левой половины, появляются признаки перикардита. При подозрении на травматический перикардиальный выпот после обширной травмы грудной клетки всем пациентам необходимо выполнить ЭКГ, прицельную рентгенографию органов грудной клетки, ЭхоКГ [1,18]. Проведение этого диагностического комплекса позволяет уточнить диагноз, оценить размеры выпота и его гемодинамическую значимость.
После подтверждения диагноза всем пациентам показано проведением противовоспалительной терапии [1,18,101,102].
В случае развития жизнеугрожающей ситуации необходимо проведение экстренной торакоскопии, которая имеет преимущество перед предварительным перикардиоцентезом [1,18]. При отсутствии нарушений гемодинамики лечение данного состояния включает в себя терапию НПВП.
Гидроперикард при эндокринных заболеваниях
Гипотиреоз является наиболее частой причиной гидроперикарда при эндокринных заболеваниях. Гипотиреоз вызывает перикардиальный выпот из-за повышенной проницаемости эпикардиальных сосудов и снижения лимфодренажа альбумина, что приводит к накоплению жидкости в пространстве перикарда. Заболевания перикарда, вызванные гипотиреозом, диагностируются недостаточно. Начало лечения на ранних стадиях заболевания и предотвращение осложнений зависят от ранней диагностики посредством систематического скрининга на гипотиреоз [103-105].
Выраженность гидроперикарда зависит от степени тиреоидной недостаточности и продолжительности заболевания. Клинические проявления включают как симптомы выпота в полость перикарда, так и гипотиреоза. К симптомам связанными с выпотом относятся одышка, боль в груди, слабость, отеки. Симптомам гипотиреоза являются сонливость, сухость кожных покровов, выпадение волос, замедленная речь, запоры, снижение памяти, зябкость, охриплость голоса, подавленное настроение. Часто развивается диастолическая артериальная гипертензия. Характерны такие внешние проявления, как общая и периорбитальная отечность, одутловатое лицо бледно-желтушного оттенка, скудная мимика. Недооценка симптомов гипотиреоза у пациентов с гидроперикардом затрудняет установление причины и приводит к позднему началу эффективного лечения [103-105].
При лабораторно-инструментальном обследовании выявляются характерные для гипотиреоза выраженная дислипидемия, низкий вольтаж QRS, удлинение интервала QT на ЭКГ. Для диагностики выпота в полость перикарда с оценкой его объема необходимо использовать ЭхоКГ, более полную информацию дают компьютерной томографии сердца с контрастированием и магнитно-резонансной томографии сердца с контрастированием.
При выявлении выпота в полость перикарда неизвестного происхождения следует прежде всего оценить функцию щитовидной железы, даже когда признаки и симптомы гипотиреоза отсутствуют [103]. Для исключения гипотиреоза необходимо провести исследование уровня тиреотропного гормона (ТТГ) в крови [104].
Если уровень ТТГ повышен, следует провести исследование уровня свободного тироксина (СТ4) сыворотки крови и определение содержания антител к тиреопероксидазе в крови. При манифестном гипотиреозе определяется повышенный уровень ТТГ и низкий уровень свободного тироксина (СТ4) в крови, при субклиническом гипотиреозе – повышенный уровень ТТГ. Тампонада сердца при гипотиреозе встречается редко в связи с медленным накоплением жидкости в полости перикарда [105,106].
Лечение.
В настоящее время недостаточно данных об особенностях ведения пациентов с гидроперикардом, обусловленным заболеваниями щитовидной железы. Начало лечения на ранней стадии заболевания и предотвращение осложнений (развития тампонады сердца) зависит от ранней диагностики гипотиреоза.
В первую очередь всем пациентам с гипотиреозом и гидроперикардом показана заместительная терапия с целью достижения и поддержания нормального уровня ТТГ и тиреоидных гормонов в крови. Препаратом выбора для заместительной терапии является левотироксин натрия** (небольшие дозы (25 мкг ежедневно), с последующим повышением под контролем уровня ТТГ) в силу его эффективности, длительного опыта применения, высокой биодоступности, благоприятного, с последующим повышением под контролем уровня ТТГ [105]. Рекомендации по лечению гидроперикарда у пациентов с гипотиреозом основываются на данных клинических наблюдений, рандомизированные клинические исследования в этом направлении не проводились. Есть данные об эффективности применения #АСК** и НПВП, #Колхицина, глюкокортикоидов [107]. Некоторые НПВП могут оказывать влияние на уровень тиреоидных гормонов, затрудняя оценку эффективности заместительной терапии. Вместе с тем по данным клинических наблюдений подобное действие не выявлено при использовании #индометацина и #ибупрофена** [108]. При применении #Колхицина необходимо учитывать, что наличие гипотиреоза требует более осторожного подхода к выбору дозы препарата. #Колхицин выводится через систему P-гликопротеина, экспрессия которой может уменьшаться при снижении функциональной активности щитовидной железы. У пациентов с гипотиреозом может уменьшаться выведение # Колхицин и увеличиваться его концентрация в плазме, что может приводить к развитию неблагоприятных эффектов (тошнота, диарея, миопатия, нарушения функции печени). Гипотиреоз может вызывать развитие миопатии в 25-60% случаев, увеличивая вероятность неблагоприятного эффекта у пациентов, получающих #колхицин [108]. В связи с этим у пациентов с гипотиреозом #Колхицин должен назначаться в меньших дозах, необходим тщательный мониторинг клинических симптомов миопатии, уровня креатинфосфокиназы (КФК). Целесообразно рассмотреть возможность лечения #колхицин до тех пор, пока уровень ТТГ достигнет нормального диапазона [108,109].
Глюкокортикоиды могут применяться у пациентов с гидроперикардом, индуцированным гипотиреозом, при непереносимости или противопоказаниях к терапии НПВП и #колхицина, а также у пациентов с рецидивирующим перикардитом [105,108,109]. При этом необходимо провести определение 1,25-ОН витамина Д в крови, т.к. и гипотиреоз, и глюкокортикоиды повышают риск развития остеопороза.
При гипертиреозе выпот в полость перикарда выявляется редко. Описаны случаи развития гидроперикарда у пациентов с выраженным тиреотоксикозом, симптомами застойной сердечной недостаточности, фибрилляцией предсердий [105,106]. Крайне редко встречается тампонада сердца. Как и при гипотиреозе, у пациентов с гипертиреозом и гидроперикардом необходимо прежде всего лечение, направленное на достижение стойкого эутиреоза. Помимо антитиреоидных препаратов могут использоваться НПВП, #колхицин и/или глюкокортикоиды [87].
Поражение перикарда при онкологических заболеваниях
Злокачественные опухоли являются наиболее распространенной причиной выпотного перикардита с гемодинамически значимым количеством перикардиальной жидкости. Ранняя диагностика и лечение злокачественного перикардита могут значительно улучшить прогноз пациента. С другой стороны, нелеченый злокачественный выпот в перикарде является потенциально смертельным осложнением рака [110].
Распространенность онкологических заболеваний при экссудативном перикардите колеблется в пределах от 12 до 23% [111]. У пациентов с раком перикардиальный выпот развивается у 5-15% пациентов и чаще является проявлением поздней стадии заболевания [111]. Перикард может быть поражен прямым распространением опухоли или метастазированием через лимфатическую систему или кровь. Перикардиальный выпот также может развиться в результате химиотерапии, лучевой терапии или в результате оппортунистических инфекций [112]. Опухоли перикарда включают первичные и вторичные раковые заболевания, а также доброкачественные новообразования. Первичные перикардиальные опухоли встречаются редко и составляют около 10% всех первичных опухолей сердца, причем их распространенность в общей популяции составляет от 0,001 до 0,007% [113]. Вторичные опухоли или прямое проникновение в перикард встречается примерно в 1000 раз чаще [114].
Злокачественная перикардиальная мезотелиома составляет 2-3% всех перикардиальных опухолей, и ее распространенность в общей популяции составляет <0,002%. Заболевание имеет плохой прогноз со средней продолжительностью жизни 6 месяцев [115]. Другие перикардиальные злокачественные новообразования включают лимфомы и саркомы. Саркомы редки, их подтипы включают ангиосаркому, фибросаркому, липосаркому, рабдомиосаркому, синовиальную саркому и недифференцированную саркому. При этой опухоли прогноз плохой – менее 1 года для всех пациентов [114].
Поражение перикарда вторичными злокачественными опухолями чаще всего наблюдается при раке легких (29%), раке молочной железы (до 10%), злокачественной меланоме, лимфомах, остром миелобластном лейкозе, гораздо реже встречается поражение перикарда при раке желудочно-кишечного тракта, раке мочеполовой системы, остром лимфобластном лейкозе, хроническом миелобластном лейкозе, множественной миеломе [116].
Перикардиальные кисты (мезотелиальные кисты) и липомы являются наиболее распространенными доброкачественными перикардиальными образованиями, часто протекающими бессимптомно. Симптомы, если они возникают, связаны с компрессией и могут в этой ситуации потребовать хирургического удаления. Другие редкие и обычно доброкачественные перикардиальные опухоли включают липобластомы, параганглиомы, опухоли половых клеток, гемангиомы и фибромы [117]. Перикардит может быть маркером скрытого рака. По данным Датского регистра более чем у 10% из 13 759 человек с перикардитом впоследствии был диагностирован рак [114].
Заболевания перикарда, связанные с методами лечения рака
Поражение перикарда, вызванное химиотерапией, обычно проявляется как перикардит, с или без ассоциированного миокардита. Развитие перикардита как осложнения химиотерапии возможно при лечении следующими препаратами: антрациклины и родственные соединения: доксорубицин**; аналоги азотистого иприта: циклофосфамид**; противоопухолевые антибиотики: митомицин**; алкилсульфонаты: бусульфан**; антиметаболиты: клофарабин, цитарабин**, фторурацил** [118,119]; ингибиторы протеинкиназы (низкомолекулярные ингибиторы тирозинкиназы: дазатиниб**, иматиниб**); моноклональные антитела: ниволумаб**; антрациклины и родственные соединения: доксорубицин** [120].
Выпотной или констриктивный перикардит также может иметь место у 6-30% пациентов после лучевой терапии [121]. Острый перикардит может возникнуть в течение нескольких дней или месяцев после лучевой терапии; это чаще констриктивный перикардит. Хронический лучевой перикардит часто является констриктивно-выпотным [122].
Особенности диагностики поражения перикарда при онкологических заболеваниях
Диагностика поражения перикарда при онкологических заболеваниях осуществляется с помощью методов визуализации, цитологического исследования перикардиальной жидкости и биопсии. Трансторакальная ЭхоКГ является методом выбора для первоначальной оценки пациентов с подозрением на перикардиальное заболевание. В большинстве случаев это позволяет не только диагностировать болезнь, но и служить ориентиром в ходе перикардиоцентеза. Трехмерная ЭхоКГ является предпочтительным методом для мониторинга функции ЛЖ и выявления перикардита у пациентов с раком. Преимущества включают более высокую точность определения фракции выброса левого желудочка, лучшую воспроизводимость и более низкую временную изменчивость по сравнению с двухмерной ЭхоКГ у пациентов с раком, получавших химиотерапию [118]. Использование других методов визуализации, таких как компьютерная томография сердца с контрастированием и магнитно-резонансная томография сердца с контрастированием может быть полезным дополнением к ЭхоКГ оценке. Их особенно следует учитывать при оценке первичных опухолей сердца, с или без перикардита, или в тех случаях, когда диагноз констриктивного перикардита остается неопределенным после тщательной ЭхоКГ оценки [118].
Для подтверждения злокачественной природы заболевание обосновано проведение цитологического исследования перикардиальной жидкости [123,124]. Злокачественные клетки идентифицируются с помощью анализа перикардиальной жидкости примерно только в 40% случаев [124]. Когда злокачественные клетки не могут быть идентифицированы цитологическим анализом, необходимо предположить другие механизмы. Выпот перикарда может быть связан с обструкцией лимфатической системы средостения путем инфильтрации опухоли или фиброза, вызванного радиотерапией. Другие возможные причины включают оппортунистические инфекции (цитомегаловирус, туберкулез, перикардит, Candida и Aspergillus), системные методы лечения, такие как алкилирующие агенты, местное воспаление, перикардит, вызванный радиацией в грудной клетке, или задержка жидкости, вызванная некоторыми химиопрепаратами [124].
С целью проведения дифференциального диагноза между доброкачественным и злокачественным выпотом целесообразно проведение исследования уровня антигена аденогенных раков CA 19-9 и исследование уровня антигена аденогенных раков CA 72-4 в крови [123].
Диагностическая значимость опухолевых маркеров недостаточно высока, так как ни один из них (раковый эмбриональный антиген, CYFRA 21-1, нейрон специфическая енолаза, СА-19-9, СА-72-4, SCC, GATA-3, сосудистый эндотелиальный фактор роста) не показал достаточную чувствительность и специфичность при разграничении доброкачественных и злокачественных выпотов [123].
Кроме того, для подтверждения злокачественного заболевания перикарда необходимо рассмотреть вопрос о проведение биопсии перикарда и эпикарда [123,124].
Лечение перикардита при онкологических заболеваниях.
Лечение перикардита при онкологических заболеваниях обычно проводится в соответствии с рекомендациями лечения перикардита.
Однако надо учитывать, что многие больные раком могут иметь предрасположенность к кровотечению из-за нарушений гемостаза, вторичных по отношению к их заболеванию или лечению. Таким образом, может оказаться затруднительным проведение рутинной терапии, такой как НПВП. В результате часто наблюдается более широкое и раннее использование других препаратов, например, #колхицина и глюкокортикоидов, хотя это может не изменить результаты [112].
Всем пациентам с перикардитом и онкологическим заболеванием необходимо применение соответствующего системного противоопухолевого лечения [124].
При тампонаде сердце всем пациентам со злокачественным выпотом для снятия симптомов и установления диагноза злокачественного выпота показано проведение перикардиоцентеза [114,125].
Кроме того, у пациентов с подозрением и установленным диагнозом злокачественного выпота для предотвращения рецидивирования и возможности внутриперикардиального лечения целесообразно использовать расширенный перикардиальный дренаж, который уменьшает частоту рецидивов примерно до 10-20% [126].
Для пациентов с радиочувствительными опухолями, такими как лимфомы и лейкемии, для контроля злокачественных выпотов показана лучевая терапия [114].
Следует учитывать, что лучевая терапия сердца сама может вызвать миокардит и перикардит.
Тем пациентам, которым невозможно выполнить перикардиоцентез, а также при констрикции перикарда или при осложнениях предыдущих процедур показано проведение перикардиэктомии [124].
На практике лечение перикардита при онкологических заболеваниях обычно паллиативно, и направлено на облегчение симптомов, а не на лечение лежащего в основе онкологического процесса. Однако возможны ситуации, когда лечение перикардита при раке может оказать положительное влияние на прогноз пациента [126].
Наличие перикардиального выпота связано с высокой смертностью у онкологических больных. Наличие симптоматического перикардиального выпота свидетельствует о более прогрессирующем карциноматозном заболевании (особенно, в случае солидных опухолей) с прямой инвазией в сердце или тяжелой инфильтрацией средостения. Перикардиальный выпот может быть диагностирован при отсутствии каких-либо ранее выявленных метастазов у одной трети пациентов, и он может быть более сильным прогностическим фактором исходов, чем метастазирование [124].
Хилоперикардит
Хилоперикард – накопление хилезной жидкости (серозный выпот хилуса) в полости перикарда. Заболевание в равной степени поражает мужчин и женщин, может возникнуть в любом возрасте, начиная с новорожденности. Сведения о распространенности хилоперикарда в литературе не представлены. Частота хилезного выпота у новорожденных составляет 1 случай на 15 000 родов и сопровождается высокой летальностью 15-50% [127-130].
Врожденный хилоторакс часто ассоциируется с неиммунной водянкой плода (hydropsfetalis), наследственными заболеваниями и генетическими синдромами (синдромы Шерешевского-Тернера, Дауна, Нунан и др.), новообразованиями грудной полости с прорастанием в грудной лимфатический проток или его сдавлением (врожденный зоб, опухоли легкого) и врожденными пороками развития лимфатической системы (опухоли, развивающиеся из лимфатических сосудов, атрезия грудного протока, гипоплазия сосудов или сосудистой стенки), пороки развития легких [127,128,130-132]. У новорожденных хилоперикард может возникнуть на фоне внутриутробного инфицирования (врожденная цитомегаловирусная инфекция) [128].
К формированию хилезного выпота в перикарде приводит сдавление или прорастание грудного протока, к которому нередко приводят новообразования средостения (лимфангиома, дисгерминома, тератобластома, тимома и др.), карцинома желудка [129].
Другими причинами хилоперикарда могут быть туберкулез, легочная гипертензия, тромбоз подключичной вены, синдром Горхема-Стоута.
Травма грудного протока в ходе кардиоторакальных операций (катетеризации центральных вен, удаления опухолей легких и средостения, коррекции ВПС, протезирования клапанов, АКШ, трансплантации сердца) может приводить к хилоперикарду. Хилоперикард может возникать на фоне тупой или проникающей травмы грудной клетки, при этом обычно сочетается с хилотораксом. Кроме того, в 56% случаев хилоперикард может быть идиопатическим.
Механизм возникновения хилоперикарда различается в зависимости от причинного фактора. В норме перикардиальная жидкость дренируется в лимфатические коллекторы переднего средостения, затем в бронхолегочные лимфатические узлы и далее в грудной проток. Хилус накапливается в перикарде вторично либо при повреждении лимфатических путей (нарушение связи между грудным протоком и лимфатическими сосудами перикарда). Перегрузка правых отделов сердца и повышение давления в верхней полой вене может вызывать повышение давления в грудном протоке, что приводит к рефлюксу хилуса в лимфатические сосуды перикарда [1,129]. Реже при врожденных пороках лимфатической системы хилус может проникать в сердечную сумку вследствие транссудации через измененную сосудистую стенку или через аномальное сообщение грудного протока с перикардом [130-132].
Клиническая картина хилоперикарда.
Начальными клиническими признаками хилоперикарда являются утомляемость, головокружение, сухой кашель, чувство давления за грудиной. По мере увеличения объема хилуса присоединяется одышка, дискомфорт или боль в грудной клетке, сердцебиение. Могут возникать приступы удушья, цианоз, эпизоды обмороков, периферические отеки и асцит. У больных с лимфангиэктазией легких может наблюдаться откашливание сгустков хилуса в виде слепков с бронхов (пластический бронхит). По результатам физикального обследования пациентам с хилоперикардом нередко первоначально устанавливается диагноз экссудативного перикардита. Слишком быстрое накоплении хилуса при ограниченной растяжимости перикарда может привести к тампонаде сердца, сопровождающейся тахипноэ, тахикардией, артериальной гипотензией, парадоксальным пульсом, шоком [125-129].
Всем пациентам с подозрением на хилоперикард выполняется следующие инструментальные исследования: прицельная рентгенография органов грудной клетки, эхокардиографии (ЭхоКГ), компьютерная томография сердца с контрастированием [1,129].
Лимфангиография/лимфосцинтиграфия выполняются крайне редко и могут быть использованы для выявления повреждения или закупорки грудного протока с целью визуализации источника утечки хилуса [1].
Прицельная рентгенография органов грудной клетки обычно выявляет кардиомегалию. КТ органов грудной полости помогает выявить причины нарушения дренирования лимфы, в т.ч., наличие злокачественных новообразований средостения, туберкулеза и др. ЭхоКГ способствует обнаружению перикардиального выпота, нарушения венозного наполнения полостей сердца в диастолу. ЭхоКГ обязательно проводится при проведении трансторакальной пункции.
Для подтверждения диагноза пациентам с хилоперикардом проводится диагностическая пункция с цитологическим исследованием дренажной жидкости (экссудаты, транссудаты) [1].
Перикардиальный выпот при хилоперикарде имеет мутно-белый или молочный цвет. Хилезный экссудат представляет собой непрозрачную жидкость молочного цвета с наличием мельчайших жировых капель во взвешенном состоянии, высоким содержанием триглицеридов (>500 мг/дЛ), белка (>3 г/л,), соотношением холестерин–триглицериды менее 1, преобладанием лимфоцитов.
Дифференциальная диагностика хилоперикардита.
При проведении диагностики важно верифицировать характер перикардиального выпота и распознать причину его накопления. В связи с этим исключения требуют следующие патологии: гидроперикард, гемоперикард, гнойный перикардит, холестериновый перикардит, метастатический перикардит. Холестериновый перикардит развивается при туберкулезном перикардите, ревматоидном артрите и травме отличается более высоким уровнем холестерина, соотношение холестерин, триглицериды более 1 [1,18].
Лечение хилоперикардита.
Консервативное лечение включает диету, коррекцию электролитного и белкового дисбаланса. В лечебной диете исключаются длинноцепочечные и среднецепочечные триглицериды, либо у пациентов с симптоматическим хилоперикардом и неконтролируемым выпотом в перикарде осуществляется полный перевод на парентеральное питание [1,18].
У пациентов с симптоматическим хилоперикардом целесообразно использовать перикардиальный дренаж [1].
Наиболее безопасным и эффективным хирургическим подходом считается торакоскопическая перевязка грудного протока выше уровня диафрагмы в сочетании с частичной перикардэктомией [1].
С целью снижения продукции хилезной жизни пациентам с симптомным хилоперикардом показано введение #октреотида** [1].
Терапия #окреатидом** назначается на 2 недели, препарат вводится подкожно в дозе 100 мкг 3 раза в день [1]. При постоянном накоплении перикардиального выпота и невозможности радикального лечения производится установка перикардо-перитонеального шунта или эмболизация грудного протока. Кроме ликвидации патологического дренажа лимфы необходимо устранение причины вторичного хилоперикарда (удаление опухоли средостения, лечение туберкулеза и других инфекций) [1].
Идиопатический рецидивирующий перикардит
Идиопатический рецидивирующий перикардит
Рецидивирующий перикардит (РП) – перикардит, этиология которого пока не идентифицирована, а течение заболевания характеризуется рецидивирующими приступами острого воспаления перикарда.
После завершения первого эпизода и ремиссии в течение 4-6 недель, острый перикардит может рецидивировать, приводя к формированию рецидивирующего перикардита (РП) примерно у 15-30% взрослых пациентов [14,25] и у 35% детей [11]. Рецидивы, как правило, менее серьезны, чем первый приступ.
Зарегистрированная заболеваемость острым перикардитом в общей популяции составляет 30-150/105 человеко-лет в год [9,10]. Учитывая вероятность рецидива и альтернативной этиологии, частоту ИРП можно оценить примерно в 5-35/105 в год [9,10].
Данная патология внесена в реестр редких патологий в Европе orpha.net под кодом ORPHA: 251 307 в разделе системные и ревматические заболевания взрослых и детей [133].
После первого рецидива до 50% пациентов подвергаются повторным приступам перикардита [14,134].
ИРП – это диагноз исключения, который можно поставить только после тщательного комплексного обследования [48,135].
Несмотря на то, что термин «идиопатический» зачастую отражает то, что этиология этого состояния еще не идентифицирована, в последние годы предпочтение отдается аутовоспалительным/аутоиммунным механизмам развития заболевания.
Выделяют три фенотипа ИРП [48]:
-
Рецидивирующие приступы перикардита в сочетании с серозитами, сопровождающиеся высокой лихорадкой и резким повышением острофазовых маркеров воспаления. Этот фенотип наиболее часто встречается у детей [52] и хорошо поддается терапии препаратами, блокирующими эффект антиинтерлейкина-1 (IL1), например, #анакинрой** [53]. Клинические проявления сходные с аутовоспалительными заболеваниями предполагают схожий патогенез.
-
Рецидивирующие приступы с подострым течением и умеренным или высоким повышением острофазовых маркеров воспаления. Нередко могут выявляться антинуклеарные антитела (АНА) и клинические проявления, возникающие при системных аутоиммунных заболеваниях, например, артралгии, ксерофтальмия, феномен Рейно, дискоидная волчанка, увеит. Считается, что аутоиммунные механизмы играют важную роль в патогенезе, однако аутоантитела не являются специфическими маркерами аутоиммунного патогенеза, поскольку могут быть эпифеноменом воспаления перикарда.
-
Пациенты с легкими приступами с подострым течением, незначительным повышением маркеров воспаления и без положительных аутоантител.
Патогенез идиопатического рецидивирующего перикардита.
ИРП является результатом взаимодействия триггеров окружающей среды, генетической предрасположенности и иммунной системы. Причины рецидива еще предстоит выяснить.
Активно изучается иммуноопосредованная патофизиология ИРП, которая может включать как аутовоспалительные механизмы врожденной иммунной системы, так и аутоиммунные механизмы адаптивной иммунной системы [136,137,138].
Воспалительная реакция врожденной иммунной системы, типичная для так называемых «аутовоспалительных заболеваний», преимущественно опосредована цитокинами, в основном ИЛ-1, в то время как воспалительная реакция адаптивной иммунной системы, типичная для так называемых «аутоиммунных заболеваний», преимущественно опосредована аутоантителами или аутореактивными Т-лимфоцитами [138].
Недавние исследования определили идиопатический рецидивирующий перикардит как редкое, сложное аутовоспалительное заболевание, вызванное аномально активированной инфламмасомой NLRP3 [139,140,141].
Врожденная иммунная система обеспечивает немедленный ответ на множество разнообразных молекулярных паттернов, связанных с повреждением и патогенами (damage associated molecular patterns – DAMP – молекулярные структуры, ассоциированные с повреждением и pathogen-associated molecular patterns PAMP – молекулярные структуры, ассоциированные с патогеном), с последующей активацией инфламмасом – цитозольных макромолекулярных структур, состоящих из адаптерного белка (ASC – apoptosis-associated speck-like protein containing a. caspase recruitment domain – белок – адаптер с доменом активации каспазы), прокаспазы 1, и сенсорной молекулы (петтерн-распознающий рецептор, или PRR).
Активация инфламмасомы приводит к избыточному синтезу провоспалительных цитокинов семейства интерлейкина (ИЛ)-1: ИЛ-1β, который отвечает за системные симптомы (такие как полисерозит, лихорадка, повышение острофазового реагента) [16] и ИЛ-1α, который, как полагают, вызывает хронический локальный воспалительный процесс в перикарде и как следствие развитие фиброза. [141].
C учетом, того, что при ИРП отмечается эффективность терапии нацеленной на врожденный иммунный ответ, особенно ингибиторами ИЛ-1, а также сходство ИРП с аутовоспалительными заболеваниями укрепляют предполагаемую гипотезу о том, что ИРП может быть формой аутовоспалительного заболевания.
С другой стороны, в некоторых случаях предполагалась одновременная активация адаптивной иммунной системы, поскольку антисердечные аутоантитела или антитела к интеркалированным дискам, обычно выявляемые при аутоиммунных заболеваниях, обнаруживаются у 67,5% взрослых пациентов с ИРП [137]. Поэтому можно предположить, что у части пациентов с ИРП воспалительный механизм может также активировать «аутоиммунный» путь [136].
Клиническая картина и критерии установления диагноза.
При классическом варианте ИРП клиническая картина рецидива будет подобна клинике острого перикардита и может проявляться болью за грудиной, повышением температуры тела от субфебрильных до фебрильных цифр, сухим непродуктивным кашлем, общими симптомами, такими как слабость, потливость, утомляемость, снижение аппетита. Каждый последующий рецидив перикардита идентичен предыдущему, но протекает несколько легче, особенно у детей [4,15,48].
При ИРП пациенты часто отмечают наличие предвестников обострения за несколько дней до нового эпизода.
При обследовании пациента может быть выявлен перикардиальный шум, выпот в полость перикарда, утолщение листков перикарда за счет отложения фибрина, а также изменения на электрокардиограмме и др. [141,142]. На рисунке 5 представлены критерии постановки идиопатического рецидивирующего перикардита [143]. Диагноз возможен при наличии 2х критериев и при отсутствии критериев-исключения.

Рисунок 5. Критерии постановки диагноза ИРП [143].
В анализах крови часто выявляется нейтрофильный лейкоцитоз, повышение С‑реактивного белка, в ряде случаев отмечено повышение аминотрансфераз. Уровень маркеров повреждения миокарда (тропонин I, КФК‑МВ и миоглобин) остается в пределах нормы. Уровень ревматоидного фактора, системы комплемента, антинуклеарного фактора и других специфических аутоантител, как правило, не повышен [143].
Немаловажным показателем аутовоспаления и активации макрофагального звена иммунитета, ассоциированного с повышением IL‑18, является ферритин, относящийся к белкам острой фазы воспаления. Поэтому ферритин, как и С‑реактивный белок, должен оцениваться во время обострения [143].
Прогноз при ИРП у детей.
Прогноз для жизни хороший.
Однако из-за частых рецидивов, побочных эффектов лекарств или возникновения осложнений, таких как тампонада сердца, констриктивный перикардит и вовлечение миокарда, заболеваемость остается высокой, кроме того, страдает качество жизни детей.
Для взрослых пациентов были идентифицированы прогностические факторы, связанные с повышенным риском рецидивов или осложнений (таблица 6).
Таблица 6.
Прогностические факторы, предсказывающие осложнения или рецидивы [1].
|
Большие критерии
|
Лихорадка выше 38º
|
|---|---|
|
|
Подострое начало
|
|
|
Большой перикардиальный выпот (>20 мм)
|
|
|
Тампонада сердца
|
|
|
Отсутствие ответа на НПВП через 1 неделю терапии
|
|
Малые критерии
|
Вовлечение миокарда
|
|
|
Иммуносупрессия
|
|
|
Травма
|
|
|
Антикоагулянтная терапия
|
Тампонада сердца при идиопатическом перикардите встречается гораздо реже (около 1-2% случаев) чем, например, при неопластическом. Тампонада сердца чаще осложняет первый приступ перикардита, чем рецидивы [144,145].
Констрикция перикарда встречается редко (1-2% за 6 лет наблюдения) у пациентов с идиопатическим или вирусным перикардитом, относительно редко (2-13%) у пациентов с перикардитом после травмы сердца или перикардитом на фоне системных аутоиммунных заболеваний и часто (20-30%) при туберкулезном и гнойном перикардите [144-147].
Лечение идиопатического рецидивирующего перикардита.
Госпитализация при рецидивирующем перикардита показана при наличии выраженного болевого синдрома или факторов плохого прогноза (Таблица 3) [1].
Стратегия лечения идиопатического рецидивирующего перикардита у детей обычно проводится в соответствии с общими рекомендациями лечения перикардита (см. главы лечение острого и рецидивирующего перикардита).
При лечении ИРП следует придерживаться той же тактики, как и при остром перикардите, назначая высокие дозы НПВП в сочетании с #колхицином, за исключением случаев специфической этиологии, требующих альтернативного лечения, или рефрактерных пациентов [1].
В этом случае допустимыми вариантами являются #Ибупрофен** (30-50 мг/кг в день, разделенный каждые 6-8 часов) или #Индометацин (2 мг/кг в день, разделенный каждые 6-12 часов, таблица 4). Внутривенное введение может быть полезным для достижения быстрого контроля боли у госпитализированных пациентов.
#Колхицин – также эффективен при перикардите. Исследования показали, что колхицин ускоряет ответ на лечение и снижает риск рецидивов примерно на 50% [148]. К сожалению, имеется не большое количество данных о применении #Колхицина у детей с рецидивирующим перикардитом [148,149]. Тем не менее, недавнее обсервационное исследование показало снижение частоты рецидивов на 65% [52]. Кроме того, использование #Колхицина) снижает риск развития констрикции перикарда при посткардиотомном синдроме [125].
В настоящее время кортикостероиды системного действия используются в качестве терапии второй линии у взрослых с тяжелым острым перикардитом или с резистентным к #Колхицину рецидивирующем перикардите. Несмотря на то, что глюкокортикоиды могут продемонстрировать быстрый эффект, тем не менее они способствуют рецидивам и стероидной зависимости, особенно при использовании в высоких дозах [50,150].
У детей кортикостероиды системного действия могут вызывать задержку роста, высыпания, красные стрии и предрасположенность к остеопорозу. Таким образом, следует избегать, насколько это возможно, применения этой группы препаратов при лечении идиопатического рецидивирующего перикардита у детей. С этой целью следует придерживаться следующих положений: (а) использовать НПВП в максимально переносимых дозах в том числе в сочетании с #Колхицина);
(б) рассмотреть возможность применение анти-IL-1 терапии после неэффективности высоких доз НПВП в сочетании с #колхицином.
В случае, невозможности соблюдения вышеперечисленного, прием глюкокортикоидов следует начинать с самой низкой эффективной дозы и постепенно снижать ее после достижения ремиссии [50,52,148,150].
В случаях ИРП #преднизолон** может быть добавлен в качестве тройной терапии с #АСК**/НПВП и #колхицина); однако дозу следует минимизировать, насколько это возможно, и избегать ее, если инфекция не исключена [1,8].
Анти-IL-1 терапия #анакинра** (1-2 мг/кг ежедневно подкожно) является наиболее важным достижением в этой области за последнее десятилетие [3]. #анакинра** эффективна при множественных аутовоспалительных заболеваниях. Таким образом, первоначально его использовали у детей с рефрактерным ИРП. Последующий опыт, включая клинические испытания, показал, что #анакинра** оказывает впечатляющее действие при рефрактерном или стероидозависимом ИРП с повышенным уровнем острофазовых маркеров воспаления [51,52,151-154].
Дети с идиопатическим рецидивирующим перикардитом часто имеют «аутовоспалительный фенотип» [52], который особенно чувствителен к #анакинре**. Препарат имеет очень хороший профиль безопасности из-за короткого периода полувыведения и низкого риска инфекций и реактивации туберкулеза. Тяжелые реакции наблюдаются редко, однако реакции в месте инъекции возникают часто в первый месяц лечения, а затем исчезают [51].
Таким образом, #анакинру** следует рассматривать как препарат второй линии для детей и подростков с ИРП, резистентными к НПВП и #колхицину.
Внутривенные иммуноглобулины (ВВИГ) используются в рефрактерных случаях с возможностью повторного введения через 1 месяц [49,52,153,154]. Поскольку для лечения ИРП стала доступна анти-IL-1 терапия, роль ВВИГ в основном ограничивается пациентами с аутоиммунными проявлениями при миоперикардитах.
Рецидивирующий перикардит при наличии конкретной этиологии следует лечить соответственно основному заболеванию.
Профилактика рецидивов и других осложнений
После достижения полной ремиссии (отсутствие симптомов и нормализации уровня острофазовых маркеров воспаления) терапию можно постепенно снижать. В первую очередь снижают дозу кортикостероидов системного действия и высоких доз НПВП. В таблице 5 показан график снижения дозы кортикостероидов системного действия, которому мы следуем у педиатрических пациентов с ИРП [1]. Рецидивы особенно часты, если снижать дозу глюкокортикоидов быстро.
Снижение дозы #анакинры** не следует начинать раньше, чем через 3-6 месяцев после достижения устойчивой ремиссии, и следует проводить очень медленно из-за высокого риска рецидивов.
Критерии оценки качества медицинской помощи
|
№
|
Критерии качества
|
Оценка выполнения
|
|
1
|
Пациент с тяжелыми проявлениями перикардита и риском тампонады сердца госпитализирован в отделение интенсивной терапии
|
Да/Нет
|
|
2
|
Проведена оценка анамнеза для выявления связи с перенесенной инфекцией или других возможных этиологических факторов
|
Да/Нет
|
|
3
|
Проведена оценка жалоб больных с подозрением на перикардит (боль в области грудной клетки; одышка; у грудных детей – внезапные, немотивированные приступы резкого беспокойства, побледнения)
|
Да/Нет
|
|
4
|
Проведена оценка физикального и клинического обследования детей: оценка состояния; вынужденная поза; осмотр кожных покровов; отечность лица и шеи; одышка, симптом Куссмауля (набухание шейных вен на вдохе); парадоксальный пульс; АД на периферических сосудах, исследование сердечно-сосудистой системы, бронхолегочной системы, исследование органов брюшной полости, оценка наличия периферических отеков, проведение термометрии
|
Да/Нет
|
|
5
|
Выполнен общий (клинический) анализ крови развернутый, скорость оседания эритроцитов
|
Да/Нет
|
|
6
|
Выполнено исследование уровня С-реактивного белка в сыворотке крови
|
Да/Нет
|
|
7
|
Выполнено исследование уровня чувствительного тропонина I/или Т и сердечной фракции креатинфосфокиназы в сыворотке крови. При технической невозможности выполнения данного исследования в условиях медицинского учреждения обсуждена возможность маршрутизации анализа в другое медицинское учреждение
|
Да/Нет
|
|
8
|
Выполнено исследование с определением протеинограммы, уровня натрия, калия, глюкозы, мочевины и креатинина, активности АСТ, АЛТ, КФК, ЛДГ
|
Да/Нет
|
|
9
|
Выполнен общий (клинический) анализ мочи
|
Да/Нет
|
|
10
|
Выполнена регистрация 12-канальной электрокардиографии
|
Да/Нет
|
|
11
|
Выполнена трансторакальная эхокардиография с допплерографией
|
Да/Нет
|
|
12
|
Выполнена рентгенография сердца в трех проекциях и легких
|
Да/Нет
|
|
13
|
Выполнена магнитно-резонансная томография сердца с контрастированием или КТ сердца с контрастированием при наличии в медицинской организации необходимого оборудования. При технической невозможности выполнения данного исследования в условиях медицинского учреждения обсуждена возможность госпитализации пациента в другое медицинское учреждение для выполнения данного исследования
|
Да/Нет
|
|
14
|
Выполнены приемы (осмотр, консультация) специалистов разного профиля, в зависимости от клинической ситуации
|
Да/Нет
|
|
15
|
Выполнено ограничений физической нагрузки и строгий постельный режим в первые дни болезни и на всё время декомпенсированного течения заболевания
|
Да/Нет
|
|
16
|
Проведена терапия препаратами, обладающими противовоспалительным действием.
#Ибупрофен**, #Нимесулид**, #Диклофенак** в качестве первой линии терапии при остром и рецидивирующем перикардите
|
Да/Нет
|
|
17
|
Выполнено назначение #Колхицина в качестве дополнения к терапии НПВП или в виде монотерапии, в случае непереносимости НПВП
|
Да/Нет
|
|
18
|
Выполнено отстранение от занятий спортом не менее чем на 3 месяца
|
Да/Нет
|
|
19
|
Пациент взят под диспансерное наблюдение
|
Да/Нет
|
Приложение А1. Состав рабочей группы по разработке и пересмотру клинических рекомендаций
-
Васичкина Е.С. – председатель рабочей группы, д.м.н. (Санкт-Петербург), член Ассоциации детских кардиологов России (АДКР), Российского кардиологического общества (РКО)
-
Грознова О.С. – д.м.н. (Москва), секретарь рабочей группы, член Ассоциации детских кардиологов России (АДКР)
-
Ковалев И.А. д.м.н. (Москва) – президент Ассоциации детских кардиологов России (АДКР)
-
Балыкова Л.А. – д.м.н., профессор (Саранск), член Ассоциации детских кардиологов России (АДКР), Российского кардиологического общества (РКО), Российского общества Холтеровского мониторирования и неинвазивной электрокардиологии (РОХМиНЭ), Союза педиатров России, Европейской ассоциации педиатров (EPA/ UNEPSA), Европейского общества кардиологов (ESC).
-
Басаргина Е.Н. – д.м.н., профессор (Москва), член Ассоциации детских кардиологов России (АДКР)
-
Дегтярева Е.А. – д.м.н., профессор (Москва), член Ассоциации детских кардиологов России (АДКР)
-
Леонтьева И.В. – д.м.н., профессор (Москва), член Ассоциации детских кардиологов России (АДКР), Российского кардиологического общества (РКО), Российского общества Холтеровского мониторирования и неинвазивной электрокардиологии (РОХМиНЭ
-
Яковлева Л.В. – д.м.н., профессор (Уфа), член Ассоциации детских кардиологов России (АДКР)
Конфликт интересов:
Авторы подтверждают отсутствие финансовой поддержки/конфликта интересов, который необходимо обнародовать.
Приложение А2. Методология разработки клинических рекомендаций
Целевая аудитория данных клинических рекомендаций:
-
Врачи-педиатры
-
Врачи общей практики (семейные врачи)
-
Врачи-детские кардиологи
-
Студенты медицинских ВУЗов, ординаторы, аспиранты
Таблица 1.
Шкала оценки уровней достоверности доказательств (УДД) для методов диагностики (диагностических вмешательств)
|
УДД
|
Расшифровка
|
|
1
|
Систематические обзоры исследований с контролем референсным методом или систематический обзор рандомизированных клинических исследований с применением мета-анализа
|
|
2
|
Отдельные исследования с контролем референсным методом или отдельные рандомизированные клинические исследования и систематические обзоры исследований любого дизайна, за исключением рандомизированных клинических исследований, с применением мета-анализа
|
|
3
|
Исследования без последовательного контроля референсным методом или исследования с референсным методом, не являющимся независимым от исследуемого метода или нерандомизированные сравнительные исследования, в том числе когортные исследования
|
|
4
|
Несравнительные исследования, описание клинического случая
|
|
5
|
Имеется лишь обоснование механизма действия или мнение экспертов
|
Таблица 2.
Шкала оценки уровней достоверности доказательств (УДД) для методов профилактики, лечения, медицинской реабилитации, в том числе основанных на использовании природных лечебных факторов (профилактических, лечебных, реабилитационных вмешательств)
|
УДД
|
Расшифровка
|
|
1
|
Систематический обзор РКИ с применением мета-анализа
|
|
2
|
Отдельные РКИ и систематические обзоры исследований любого дизайна, за исключением РКИ, с применением мета-анализа
|
|
3
|
Нерандомизированные сравнительные исследования, в т.ч. когортные исследования
|
|
4
|
Несравнительные исследования, описание клинического случая или серии случаев, исследования «случай-контроль»
|
|
5
|
Имеется лишь обоснование механизма действия вмешательства (доклинические исследования) или мнение экспертов
|
Таблица 3.
Шкала оценки уровней убедительности рекомендаций (УУР) для методов профилактики, диагностики, лечения, медицинской реабилитации, в том числе основанных на использовании природных лечебных факторов (профилактических, диагностических, лечебных, реабилитационных вмешательств)
|
УУР
|
Расшифровка
|
|
A
|
Сильная рекомендация (все рассматриваемые критерии эффективности (исходы) являются важными, все исследования имеют высокое или удовлетворительное методологическое качество, их выводы по интересующим исходам являются согласованными)
|
|
B
|
Условная рекомендация (не все рассматриваемые критерии эффективности (исходы) являются важными, не все исследования имеют высокое или удовлетворительное методологическое качество и/или их выводы по интересующим исходам не являются согласованными)
|
|
C
|
Слабая рекомендация (отсутствие доказательств надлежащего качества (все рассматриваемые критерии эффективности (исходы) являются неважными, все исследования имеют низкое методологическое качество и их выводы по интересующим исходам не являются согласованными)
|
Порядок обновления клинических рекомендаций.
Механизм обновления клинических рекомендаций предусматривает их систематическую актуализацию – не реже чем один раз в три года, а также при появлении новых данных с позиции доказательной медицины по вопросам диагностики, лечения, профилактики и реабилитации конкретных заболеваний, наличии обоснованных дополнений/замечаний к ранее утверждённым КР, но не чаще 1 раза в 6 месяцев.
Приложение А3. Справочные материалы, включая соответствие показаний к применению и противопоказаний, способов применения и доз лекарственных препаратов, инструкции по применению лекарственного препарата
-
Приказ Министерства здравоохранения Российской Федерации от 28.02.2019 № 103н «Об утверждении порядка и сроков разработки клинических рекомендаций, их пересмотра, типовой формы клинических рекомендаций и требований к их структуре, составу и научной обоснованности включаемой в клинические рекомендации информации» (Зарегистрирован 08.05.2019 № 54588)
-
Приказ Министерства здравоохранения РФ от 10 мая 2017г. № 203н "Об утверждении критериев оценки качества медицинской помощи"
-
Федеральные клинические рекомендации «Миокардиты», 2020. https://cr.minzdrav.gov.ru/recomend/153_1
-
Приказ Минздравсоцразвития России от 16.04.2012 № 366н (ред. от 21.02.2020) "Об утверждении Порядка оказания педиатрической помощи" (Зарегистрировано в Минюсте России 29.05.2012 № 24361)
-
Приказ Минздрава России от 25.10.2012 № 440н (ред. от 21.02.2020) "Об утверждении Порядка оказания медицинской помощи по профилю "детская кардиология" (Зарегистрировано в Минюсте России 04.12.2012 № 26000)
-
Государственный реестр лекарственных средств https://grls.rosminzdrav.ru/Default.aspx
-
Приказ Министерства здравоохранения РФ от 6 декабря 2021 г. № 1122н «Об утверждении национального календаря профилактических прививок, календаря профилактических прививок по эпидемическим показаниям и порядка проведения профилактических прививок»
-
Баранов А.А. «Федеральные клинические рекомендации по оказанию медицинской помощи детям с миокардитами» 2015 г. https://www.pediatr-russia.ru/information/klin-rek/deystvuyushchie-klinicheskie-rekomendatsii/
-
Приказ Министерства здравоохранения РФ от 23.10.2019 № 878н "Об утверждении Порядка организации медицинской реабилитации детей"
-
Приказ Минтруда России от 26.07.2024 № 374н "Об утверждении классификаций и критериев, используемых при осуществлении медико-социальной экспертизы граждан федеральными учреждениями медико-социальной экспертизы" (Зарегистрировано в Минюсте России 23.08.2024 № 79273)
-
Приказ Минздрава России от 02.03.2021 № 160н "Об утверждении стандартов медицинской помощи взрослым при миокардитах" (вместе со "Стандартом медицинской помощи взрослым при миокардитах (диагностика и лечение)", "Стандартом медицинской помощи взрослым при миокардитах (диспансерное наблюдение)") (Зарегистрировано в Минюсте России 12.04.2021 № 63068)
-
Приказ Минздрава России от 15 ноября 2012 г. № 918н «Об утверждении порядка оказания медицинской помощи больным с сердечно-сосудистыми заболеваниями» (в ред. Приказов Минздрава РФ от 14.04.2014 № 171н, от 22.02.2019 № 89н, от 21.02.2020 № 114н)
Приложение Б. Алгоритмы действий врача
Классификация перикардитов [29]


Дифференциальный диагноз между констриктивным перикардитом и рестриктивной кардиомиопатией [1,122].
|
Диагностические методы
|
Констриктивный перикардит
|
Рестриктивная кардиомиопатия
|
|
Данные осмотра
|
Признак Куссмауля (набухание яремных вен при вдохе), перикардиальный щелчок.
|
Шум регургитации, признак Куссмауля может быть
|
|
ЭКГ
|
Низкий вольтаж, неспецифические изменения ST/T, мерцательная аритмия
|
Низкий вольтаж, псевдоинфаркт, возможное расширение QRS, отклонение влево, мерцательная аритмия.
|
|
Прицельная рентгенография органов грудной клетки
|
Кальцификаты перикарда (в 1/3 случаев).
|
Нет кальцификатов
|
|
Эхокардиография
|
|
|
|
Чрезвенозная катетеризация сердца
|
Признак «корня квадратного», обычно – равные диастолические давления в желудочках, взаимозависимость желудочков (т.е., индекс систолической площади >1,1).
|
Выраженная систолическая гипертензия в ПЖ (>50 мм рт.ст.), диастолическое в левом превосходит диастолическое в правом (ЛКДД>ПКДД) в покое или во время нагрузки на 5 мм рт.ст. и более (ПКДД <1/3 ПСД).
|
|
Компьютерной томографии сердца с контрастированием/ магнитно-резонансной томографии сердца с контрастированием
|
Толщина перикарда >3-4 мм, кальцификаты перикарда (КТ), взаимозависимость желудочков (кино-МР в реальном времени)
|
Нормальная толщина перикарда (<3,0 мм), вовлечение миокарда по морфологическому и функциональному исследованиям (МРТ).
|
Этапы проведения диагностических мероприятий
|
Уровень
|
Исследования
|
|
1-й уровень
(во всех случаях)
|
Маркеры воспаления (исследование уровня С-реактивного белка в сыворотке крови, исследование скорости оседания эритроцитов), дифференцированный подсчет лейкоцитов (лейкоцитарная формула) в крови
Оценка функции почек и показатели печени (определение активности аспартатаминотрансферазы и аланинамино-трансферазы, общего билирубина, мочевой кислоты в крови), функции щитовидной железы (исследование уровня тиреотропного гормона (ТТГ) в крови,
исследование уровня свободного тироксина (СТ4) сыворотки крови и определение содержания антител к тиреопероксидазе в крови)
Маркеры повреждения миокарда (исследование уровня тропонинов I, и/или T в крови и уровня МВ-фракции креатинкиназы и т.д.)
ЭКГ
Трансторакальная ЭХОКГ
Прицельная рентгенография органов грудной клетки
|
|
2-й уровень
(если недостаточно
1-го уровня для диагноза)
|
Компьютерная томография сердца с контрастированием и/или магнитно-резонансная томография сердца с контрастированием
Анализ перикардиального выпота после перикардиоцентеза или хирургического дренирования, в случае:
(1) тампонады,
(2) подозрения на бактериальную природу, неопластическую, или
(3) симптомные умеренные и выраженные выпоты, не отвечающие на обычную противовоспалительную терапию.
Дополнительные исследования связаны со специфической этиологией в соответствии с клинической картиной (наличие критериев высокого риска).
|
Особенности оценки перикардиального выпота
|
Основные критерии перикардиального выпота
|
|
|---|---|
|
Общая биохимия
|
*высокие уровни белка и ЛДГ обычно интерпретируются как экссудат, как при плевральном выпоте, но это не было подтверждено для перикардиального выпота.
|
|
Цитология
|
Цитология
(качество исследования выше, если больше количество жидкости, она центрифугирована и анализ выполнен быстро)
|
|
Полимеразная цепная реакция
|
На туберкулёз
|
|
Микробиология
|
Культура микобактерий, аэробные и анаэробные культуры
|
Рекомендации по общему диагностическому поиску при заболеваниях перикарда [1].
|
Рекомендации
|
Класс рекоменд по ЕОК
|
Уровень доказ
|
|
Во всех случаях подозрения на заболевания перикарда первым диагностическим подходом являются:
- Аускультация при патологии сердца и перикарда
- ЭКГ
- ЭХОКГ
- Прицельная рентгенография органов грудной клетки
- Рутинные анализы крови, включая маркеры воспаления (исследование уровня С-реактивного белка в сыворотке крови, исследование скорости оседания эритроцитов), дифференцированный подсчет лейкоцитов (лейкоцитарная формула) в крови, функция почек и печени (определение активности аспартатаминотрансферазы и аланинаминотрансферазы, общего билирубина, мочевой кислоты в крови), маркеры повреждения миокарда (исследование уровня тропонинов I, и/или T в крови и уровня МВ-фракции креатинкиназы)
|
I
|
C
|
|
Рекомендуется искать независимые предикторы определимой и подверженной этиотропной терапии причины перикардита (т.е. бактериальной, неопластической, системной воспалительной)
Основные факторы:
- Лихорадка более 38°С
- Подострое течение (симптомы развиваются в течение нескольких дней или недель)
- Выраженный выпот (сепарация листков перикарда >20 мм)
- Тампонада
- Неэффективность НПВП
|
I
|
B
|
|
Компьютерная томография сердца с контрастированием и/или магнитно-резонансная томография сердца с контрастированием проводятся как исследования второго уровня в диагностике перикардита
|
I
|
C
|
|
Перикардиоцентез или хирургическое дренирование полости перикарда показаны при тампонаде сердца или подозрении на бактериальный или неопластический перикардит
|
I
|
C
|
|
Чрескожная или хирургическая биопсия могут рассматриваться в некоторых случаях при подозрении на неопластический или туберкулезный перикардит
|
IIb
|
C
|
|
Последующие исследования показаны у пациентов из группы высокого риска в соответствии с клиническим состоянием
|
I
|
C
|
Приложение Б 2. Алгоритмы действий врача
Алгоритм действий при подозрении на перикардит [1].

Приложение В. Информация для пациента
Перикард – это замкнутая щелевидная полость, состоящая из 2х слоев – внутреннего и внешнего, которые окружают сердце. Обычно между этими слоями находится небольшое количество жидкости.
Когда перикард воспаляется, количество жидкости между его двумя слоями увеличивается, это называется перикардиальным выпотом. Выпот в полости перикарда может сдавливать сердце, препятствуя его нормальной работе.
Острый перикардит – это клинический синдром, имеющий полиэтиологическую природу и проявляющийся в типичных ситуациях симптомами воспаления и болями в грудной клетке, а в ряде случаев – также шумом трения перикарда и/или выпотом в полость перикарда воспалительного экссудата.
Острый перикардит чаще всего является осложнением перенесенной инфекции, различных заболеваний внутренних органов и их методов лечения.
Диагноз перикардит может быть установлен в любом возрасте.
Считается, что повышенный риск развития перикардита имеют дети с ослабленной иммунной системой, перенесшие операции на сердце или травмы грудной клетки, имеющие аутоиммунные заболевания.
Клинические проявления миокардита также разнообразны и зависят от возраста ребенка. Симптомы перикардита могут быть похожи на проявления других заболеваний.
Ваш ребенок может испытывать острую, пронзительную боль в груди, которая усиливается при глубоком дыхании или в положении лежа. Этот распространенный симптом часто начинается с левой стороны или центра груди и распространяется на шею и левое плечо. У грудных детей эквивалентом болевого синдрома могут быть внезапные, немотивированные приступы резкого беспокойства, побледнения, иногда рвоты.
Другие симптомы перикардита могут включать: одышку, кашель, лихорадку и озноб, слабость и утомляемость, раздражительность, потерю аппетита, учащенное сердцебиение, обморок.
В младшем возрасте часто отмечаются боли в животе, диспептические явления, рвота, болезненность при пальпации, заставляющие исключать хирургическую патологию брюшной полости и заболевания желудочно-кишечного тракта.
В этом случае следует немедленно обратиться к врачу или вызвать скорую медицинскую помощь.
В случае выявления патологии перикарда и наличия факторов риска развития осложнений ребенок будет госпитализирован в стационар. Врачом будет определена тяжесть состояния, при необходимости ребенок может быть переведен в отделение реанимации для стабилизации состояния.
Ребенку будет проведено необходимое обследование, включающее ЭКГ, ЭХОКГ, рентгенографию органов грудной клетки, проведены лабораторные обследования, включающие общий (клинический) и анализ крови биохимический общетерапевтический. В зависимости от тяжести состояния и выявленных изменений ребенку будет назначена индивидуальная терапия.
В случае, если количество жидкости быстро увеличивается, возможно развитие такого грозного осложнения перикардита, как тампонада сердца – это состояние, когда сердце сдавлено скопившейся жидкостью, камеры сердца не могут расслабиться и наполниться кровь, это приводит к снижению насосной функции, снижению сердечного выброса.
Лечение строго перикардита у детей начинается ограничения физических нагрузок, в тяжелых случаях может потребоваться резкое ограничение физической активности и строгий постельный режим в первые дни болезни.
Медикаментозная терапия, как правило, направлена на устранение болевого синдрома, уменьшение воспаления, лечение инфекции, если она есть. При тяжелом, осложненном перикардите вашему ребенку может потребоваться такие процедуры как, перикардиоцентез или перикардэктомия.
После выписки из стационара наблюдение за ребенком осуществляет участковый врач-педиатр и врач-кардиолог (врач-детский кардиолог) по месту жительства.
Диспансерное наблюдение осуществляется в течение 3-х лет с момента установления диагноза или выписки из стационара, больными хроническим перикардитом – постоянно.
Дети-спортсмены с перикардитом вне зависимости от этиологии должны быть отстранены от занятий любыми видами спорта во время острой стадии заболевания не менее, чем на 3 месяца. Спортсмены могут возобновить занятия спортом вне острой стадии заболевания, включая отсутствие выпота по данным ЭхоКГ, при условии нормализации маркеров воспаления.
Приложение Г1-ГN. Шкалы оценки, вопросники и другие оценочные инструменты состояния пациента, приведенные в клинических рекомендациях
Отсутствуют
Прикреплённые файлы
Внимание!
- Занимаясь самолечением, вы можете нанести непоправимый вред своему здоровью.
- Информация, размещенная на сайте MedElement и в мобильных приложениях "MedElement (МедЭлемент)", "Lekar Pro", "Dariger Pro", "Заболевания: справочник терапевта", не может и не должна заменять очную консультацию врача. Обязательно обращайтесь в медицинские учреждения при наличии каких-либо заболеваний или беспокоящих вас симптомов.
- Выбор лекарственных средств и их дозировки, должен быть оговорен со специалистом. Только врач может назначить нужное лекарство и его дозировку с учетом заболевания и состояния организма больного.
- Сайт MedElement и мобильные приложения "MedElement (МедЭлемент)", "Lekar Pro", "Dariger Pro", "Заболевания: справочник терапевта" являются исключительно информационно-справочными ресурсами. Информация, размещенная на данном сайте, не должна использоваться для самовольного изменения предписаний врача.
- Редакция MedElement не несет ответственности за какой-либо ущерб здоровью или материальный ущерб, возникший в результате использования данного сайта.